Зубной камень часто является одной из причин, провоцирующих развитие болезней ротовой полости. Налет, скапливаясь на поверхностях, создает благоприятную среду для размножения бактерий, а также скрывает многие заболевания. Именно поэтому важно регулярно удалять его, чтобы сэкономить деньги на лечении. Снятие зубного камня станет отличным способом сохранить безупречную улыбку на долгие годы.
Особенности проблемы
Исследователи говорят о том, что примерно половина всех случаев болезней полости рта, которые регистрируются в больницах, спровоцированы отложениями. Сначала во рту появляется небольшой налет, но со временем, если чистка зубного камня не проводится, он твердеет, приобретает желтый или светлый оттенок. Отложения начинают давить на резцы, вызывают воспаление мягких тканей. В образовавшиеся микроскопические раны проникает грязь, патогенная микрофлора. Все это вызывает воспаление.
Многие думают, что чистка зубов спасет от зубного камня. Но это не так, поскольку полностью убрать отложения человек не может. Бывает, что щеткой он не достает до крайних резцов, спешит, неправильно обрабатывает ротовую полость. Вдобавок к этому, налет появляется из-за чрезмерного увлечения кофе, вином, сладостями. Зубной камень быстрее образуется при курении. Всего 10-15 часов требуется осадку на то, чтобы под воздействием слюны затвердеть и остаться на поверхности эмали.
Около 30% общего состава налета – это бактерии, органические кислоты: белки, частички эпителия. Остальная часть – соли фтора, кальция, фосфатные соединения. Хотя врачи говорят, что зубной камень формируется у человека в зависимости от рациона, образа жизни, генетических особенностей. В некоторых случаях заболевания внутренних органов также приводят к чрезмерному скоплению налета, который нужно часто удалять. Если этого не делать, стоматологические проблемы не заставят себя ждать.
Виды налета
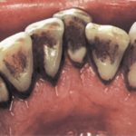
Обычно перед тем, как снять зубной камень, стоматолог изучает его состав, поскольку он позволяет диагностировать заболевание, назначить эффективное лечение, установить причину, устранение которой поможет в борьбе с инфекцией. Чем дольше пациент затягивает с визитом в клинику, тем сложнее сразу поставить диагноз, ведь со временем отложения меняют оттенок и структуру. Специалисты выделяют образование зубного камня в следующих вариантах:
- Наддесневой – особенно хорошо виден на слизистых оболочках, отличается темным цветом, легко удаляется. Обычно выступает из промежутков между резцами и деснами.
- Поддесневой – формируется внутри десневых карманов, часто появляется при сопутствующих стоматологических недугах (например, при гингивите). Его пациент не может увидеть, а обнаруживается проблема при осмотре. Удаление зубного камня может быть трудным, болезненным процессом.
Несложно догадаться, что наиболее сложным является второй вид отложений. При визуальном осмотре его можно увидеть по состоянию мягких тканей. Часто десны становятся синюшными, а иногда из них выделяется кровь даже при малейшем прикосновении. Чистка зубного камня усложняется, если попутно наблюдается формирование гнойного содержимого. Пациент ощущает неприятный привкус во рту, а без лечения может лишиться зубов.
Основные причины
Главная сложность заключается в диагностике. Если человек редко посещает врача, то может пропустить момент, когда начнет образовываться зубной камень – налет будет постепенно накапливаться, а его острые части станут травмировать мягкие, чувствительные области. Для диагностики требуется специальная аппаратура, что снова говорит о необходимости посещать врача. На фоне отложений могут возникать более сложные заболевания: пародонтоз, гингивит. Их лечение потребует еще больше денег, чем если бы человек просто регулярно ходил производить удаление зубного камня.
Специалисты говорят, что использование некачественной пасты, неправильный уход за полостью рта, нерегулярная замена щетки приводит к отложениям. Многие люди забывают обработать зубы изнутри, а уделяют внимание только внешней части. Но проблема в том, что вред зубного камня как раз заключается в его накоплении на внутренних поверхностях, откуда его сложно извлечь. Ситуацию усугубляет алкоголь, курение, а также частое употребление чая, кофе, продуктов, окрашивающих эмаль.
Общие проблемы со здоровьем могут стать толчком для повышенного образования отложений. Если у человека интенсивно формируется зубной камень, причины могут заключаться в гормональном дисбалансе, патологиях в работе желудка, кишечника, печени. Прием некоторых препаратов непосредственно отражается на состоянии ротовой полости. Антибиотики часто приводят к тому, что человеку гораздо чаще требуется проводить снятие зубного камня ультразвуком или другим методом.
Ношение протезов и брекетов тоже способствует более быстрому скоплению отложений. Именно поэтому стоматологи часто рекомендуют хотя бы первые 1-2 года посещать больницу чаще для отслеживания состояния ротовой полости. Против зубного камня сегодня существует множество методик. Их эффективность уже оценили многие пациенты. Если раньше считалось, что данная проблема подстерегает только пожилых людей, то сегодня все больше молодежи сталкиваются со сложностями в данном вопросе.
Методы лечения
Многие считают, что можно зубной камень снять в домашних условиях, избежав расходов на посещение клиники. Для кого-то этот способ больше подходит из-за боязни врачей. Но в родных стенах часто не получается самостоятельно справиться с проблемой. Бояться идти в больницу не стоит, ведь сегодня доступны новые методики, благодаря которым всего за один визит удается почистить зубной камень. Особенно, если с пациентом работает опытный гигиенист.
В современной стоматологии до сих пор используется механический способ, поскольку он наиболее эффективный. Данная методика позволяет быстро и максимально полно убрать отложения. Ее минус – зубной камень больно удалять. Но все зависит от восприимчивости пациента, а также степени поражения. Во время данной процедуры налет соскабливается с поверхностей при помощи специальных инструментов, а предварительно его растворяют особыми составами. После удаления зубного камня могут немного ныть десны, поскольку процедура травматичная.
Химическая чистка более щадящая, хотя часто она не позволяет справиться с отложениями так же эффективно, как если бы специалист применял механический способ. Процедура предполагает, что на поврежденные поверхности наносится гель специально для удаления зубного камня, который создает реакцию на резцах и мягких тканях, благодаря чему грязь буквально сходит без особого воздействия. Плюс методики – безболезненность. Но минусы в том, что при беременности или лактации данный способ запрещен. Также перед тем, как удалить зубной камень важно исключить аллергическую реакцию.
Самый современный способ – использование ультразвука. Еще пару лет назад он был доступен только в элитных клиниках, но сегодня все чаще его предлагают частные больницы в самых разных городах. В отличие от двух предыдущих вариантов, удаление зубного камня ультразвуком исключает травмы, через которые препараты или бактерии проникают в организм. Специальный прибор воздействует на поверхности волнами определенной частоты. Это позволяет устранить даже самые твердые, плотные скопления. Таким образом, чистка зубного камня ультразвуком эффективна и безопасна.
Все манипуляции занимает буквально 15-20 минут вместе с подготовкой. После этой процедуры врач обрабатывает ротовую полость антисептическими растворами. Процесс реабилитации проходит достаточно быстро, поскольку удаляя зубной камень, ультразвук не травмирует поверхности. Обезболивание для данного метода не требуется, что тоже упрощает задачу. По завершении сеанса врач покрывает резцы специальным лаком, который придаст поверхности гладкость, защитит их от патогенной флоры. Какой метод использовать, и как убрать зубной камень врач решает индивидуально.
Многие пациенты переживают, если не могут вовремя попасть к врачу. Решить проблему можно своими силами, хотя самостоятельный подход не даст настолько хороший результат, как прием у специалиста. Однако всегда можно попробовать зубной камень снять в домашних условиях, используя простые средства. Например, для этого подойдет зубная паста с содой и перекисью водорода. Компоненты смешивают до получения пастообразной консистенции, а затем массажными движениями втирают в резцы. Через 3-5 минут прополощите рот. Убрать зубной камень получится в домашних условиях быстро.
Интересно, что для этой же цели можно применять грецкий орех. Понадобится его скорлупа, которую следует промыть, отварить в обычной воде 20 минут. Далее смесь процедите и дайте остыть. Теперь погрузите туда зубную щетку на 10 минут. После этого можно удалить зубной камень щеткой в домашних условиях. Процедура не травмирует полость рта, не содержит агрессивных компонентов. Вы можете повторять ее 2-3 раза в день, пока не увидите результат.
Данный способ эффективен на начальной стадии – он поможет снять небольшие отложения. Это же касается зубной пасты. Однако если у вас сильный зубной камень, то как избавиться именно в домашних условиях, сказать сложно – скорее всего, придется обратиться к врачу. Кстати, обычно стоматологи не возражают против использования домашних методов, если они сочетаются с назначенной терапией, а не заменяют ее. После подробной диагностики профессиональный стоматолог обязательно порекомендует средство специально от зубного камня и для профилактики его образования.
Особые проблемы и профилактика
Часто пациент осознает необходимость посещения врача, но у него нет возможности вырваться с работы, что заставляет отложить визит. Если налет слишком сильный, часть его может отколоться. Знание того, почему зубной камень сходит сам, поможет не паниковать, ведь ситуация нормальна. Врачи говорят, что часто налет растворяется и незаметно сходит. Бывает, что твердые частицы откалываются при употреблении жесткой пищи. Если вы видели такой зубной камень на фото, то заметили, что сколы часто травмируют мягкие ткани или делают их чувствительными.
Особой проблемы нет, если пациент все же решит поскорее обратиться к врачу. Специалист полностью снимет отложения, проверит состояние ротовой полости, решит, удалять ли зубной камень. Понять, что произошел скол, можно по появлению светлого пятна на эмали, которое отличается от основного оттенка на поверхности. Сколам может способствовать процесс гниения, который появился на фоне болезни, кариес, наличие воспалительных процессов, связанных с патологиями внутренних органов. На приеме врач решает, каким способом и как очистить зубной камень с максимальной эффективностью.
Часто после процедуры врач назначает витамины для повышения иммунитета, рассказывает о правилах эффективной гигиены. Немаловажную роль играет правильная чистка. Сегодня в продаже можно найти все средства для этой цели. Например, паста специально для удаления зубного камня точно поможет сократить количество визитов к доктору, снимет легкий налет, поможет поддерживать резцы в нормальном состоянии. Также специалисты часто рекомендуют включать в свой рацион яблоки, которые укрепляют эмаль, естественным образом снимают налет.
О том, каким способом и как избавиться пациенту от зубного камня, мы рассказали. Не забывайте о профилактике и регулярных походов к дантисту. Сохранить улыбку сегодня стало проще – современные методики помогут устранить заболевания в начальной стадии и не допустить развития новых недугов. Кроме того, вам точно поможет профилактика зубного камня – ее освоить сможет каждый!














Автор прав, нужно как лучше раньше, на ранней стадии обратиться к врачу. Только так можно обойтись без последствий. Хорошо что есть способы вылечиться и в домашних условиях. Спасибо за статью.
Полностью согласен с автором статьи ведь проблемы с зубами это не шутки у самого был гингивит и на своем опыте понимаю что это еще та беда поэтому регулярная чистка зубов и профилактические приемы у стоматолога залог успеха.