Многие люди не придают значения маленьким ранкам, язвочкам, уплотнениям на слизистой оболочке. Но такое образование может переродиться в рак, и своевременная диагностика поможет быстрее начать лечение с благоприятным прогнозом. Стоматологи говорят, что злокачественная опухоль десны диагностируется у каждого десятого пациента, обратившегося с жалобами на образование около зуба. В последние годы число таких случаев возросло, что вынуждает медиков работать над новыми способами лечения.
Описание болезни и группа риска
Рак десны считается одним из самых сложных заболеваний в сфере онкологии. Именно мягкие ткани поражает опухоль в 10% случаев, диагностируемых в ротовой полости. Чаще всего среди больных – мужчины возрастом от 40 лет, а также люди, ранее страдавшие серьезными заболеваниями зубов, пренебрегавшие лечением и имеющие патологии в хронической форме. Рак десен опасен своим неблагоприятным прогнозом, поскольку незаметен в обычной жизни и диагностируется уже обычно на последней стадии, когда пациент приходит на осмотр, когда образование стало доставлять неудобства.
Признаки рака десны часто наблюдаются у курильщиков и людей, злоупотребляющих алкоголем. Канцерогены, выделяющиеся при курении, способствуют формированию опухолей. Из них состоит этиловый спирт – основа алкоголя. Именно поэтому он раздражает слизистую и приводит к развитию патологических клеток. Также рак десны возникает при плохой гигиене ротовой полости. Достаточно чистить зубы 1-2 раза в день, используя качественную щетку и пасту, чтобы в несколько раз снизить вероятность онкологических заболеваний.
Твердая, жесткая пища травмирует ткани, и воспаления переходят в опухоль. Начальные симптомы рака десны возникают при неправильном питании, когда ослаблен иммунитет. Это усугубляется кариесом и другими хроническими проблемами, возникшими, потому что пациент вовремя не обратился за помощью и предпочел обойтись обезболивающими таблетками, купировав основной приступ. Часто стоматологи небольшую припухлость в области мягких тканей приписывают пульпиту или кариесу. Зуб удаляют, полагая, что вопрос решен, хотя рак десны после удаления зуба продолжает развиваться.
Немногие знают, что многие онкологические образования в полости рта могут быть связаны с пирсингом и проколами. Об этом практически никогда не предупреждают мастера, хотя к ним приходят подростки. На вопрос о том, бывает ли рак десен от прокола языка, врачи уже однозначно отвечают, что это один из провоцирующих факторов, поскольку при пирсинге повреждаются слизистые покровы, а в такой среде активно размножаются бактерии. Никогда невозможно предсказать, в каком случае простая инфекция станет почвой для развития опухоли.
Врачи говорят, что рак десен стремительно молодеет. Этому способствует плохая экология, неправильное питание. И если лет 20-30 назад на прием к онкологу записывались люди среднего возраста, то сегодня эту проблему диагностируют даже у студентов. Немногие знают, как выглядит рак десен, и не придают значения небольшим язвочкам, уплотнениям, выделениям крови при чистке зубов. Некоторые исследования указывают на взаимосвязь поражения легких с употреблением острой и горячей еды, объясняя это ожогами, чрезмерным раздражением десен.
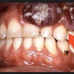
Плоскоклеточный рак десны – основная разновидность этого недуга, которая тяжело протекает, вызывая активное метастазирование в лимфоузлы и на большую глубину. Основной признак, по которому специалисты ставят диагноз – лейкоплакия. Со стороны это выглядит, как белые пятна на слизистой оболочке, которые образуются из остатков отмершего эпителия. Бывает так, что ничего не указывает на рак десны, стадии малозаметны, а симптомы не привлекают внимание. Об опухоли пациент узнает только на приеме у доктора. Но чаще небольшие изменения в состоянии присутствуют.
Как проявляется проблема?
Каждому человеку важно знать, как на любом этапе выглядит рак десны и как проявляется – это поможет вовремя насторожиться и проконсультироваться с врачом. Опухоль замечают не сразу, потому что небольшое уплотнение не ощущается, а эстетически оно малозаметно, и человек не придает ему значения. Когда заболевание прогрессирует, образование быстро разрастается, сопровождаясь определенными признаками. Когда у человека рак десны, начальная стадия, симптомы включают в себя появление на тканях белесых или багровых пятен. Также наблюдается:
- Кровоточивость тканей – кровь может пойти при надавливании. Сначала возникает редко, но по мере развития недуга учащается. Кровь становится сложно остановить, а также существует риск развития анемии.
- Отеки – в месте поражения возникают припухлости. Иллюстрируют, как выглядит в таком случае рак десны, фото в интернете на сайте клиник, которые занимаются лечением онкологических недугов.
- Боль – сначала она слабая, но по мере развития проблемы усиливается, охватывая челюсть, вызывая дискомфорт при жевании и разговоре, вызывая ощутимый дискомфорт в повседневной жизни.
Обычно на первые признаки рака десны указывают язвы – множественные или одиночные, которые находятся в районе локализации опухоли. У язв правильная форма и четкие границы. Одновременно пациент начинает чувствовать, что стал больше уставать, ему сложнее засыпать по вечерам. По мере того, как развивается рак десны, жжение становится сильным и уже не купируется обезболивающими средствами. Повышается температура, которая не сбивается лекарствами и указывает на воспаление в организме. К сожалению, пациент обращает внимание на это, когда рак уже интенсивно развивается.
Рак нижней десны можно определить по локализации боли. Пациент чувствует сильный дискомфорт при глотании и жалуется на неприятные ощущения в области языка, шеи, челюсти. Болезнь может продолжить развиваться на отдельном участке или распространиться по всей ротовой полости. Если болевые ощущения отдают в уши, виски, лоб, вызывают мигрень, чаще всего диагностируют рак верхней десны. В обоих случаях возникают проблемы с чисткой зубов из-за боли и постоянного выделения крови, которую на заключительных стадиях трудно остановить. Язвы могут нарывать, вызывая заражение здоровых участков.
Основные стадии и диагностика
Очень важно знать, как рак десны выглядит и как проявляется на всех стадиях, чтобы вовремя обратить внимание на тревожные симптомы. На начальном этапе опухоль небольшая – ее размер доходит до 1 см в диаметре, а внешне она малозаметна. Второй этап – фаза активного роста образования. Возникает рак десны, 2 стадия которого характеризуется углублением очага заболевания примерно на 1 см. Также появляется первый метастаз, хотя это может произойти только на третьей стадии, когда метастазы обнаруживают в лимфоузлах со стороны пораженной области.
Опаснее всего рак десны, 4 стадия которого приводит к распространению метастазов в ротовой полости, легких, печени и других органах. Для больного прогноз неблагоприятный – эту форму трудно лечить. И если сначала болезнь невозможно заметить, то на завершающем этапе образование по мере роста сдавливает нервы, вызывая сильные боли. Но вначале легко перепутать рак десны, симптомы, первые проявления болезни с кариесом или пародонтитом. Поэтому врач сначала внимательно осматривает ротовую полость перед тем, как пломбировать или удалять зуб. При необходимости проводится чистка.
Опасно лечить зубы в этот период, потому что инфекция будет накапливаться еще быстрее. При наличии подозрения на признаки рака десны обычно назначают цитологическое исследование, биопсию. В первом случае берут соскоб со слизистой оболочки, а во втором – фрагмент материала около опухоли, анализ которого позволит определить характер образования. Если есть подозрение на рак десны, фото стадий можно получить при магнитно-резонансной томографии, где пораженные зоны выделены цветом. Состояние челюстей отслеживают в ходе ортопантомограммы.
На приеме стоматолог может поставить такой диагноз, как цементома или одонтома. По незнанию многие пациенты считают, что это рак зуба, десны при котором тоже поражаются, кровоточат и болят. Однако переживать не стоит, поскольку образование квалифицируется как доброкачественное. Но без лечения возможно его перерождение в злокачественную форму – адамантиному. Появляются пузыри с коричневым содержимым или кисты. Вне зависимости от того, имеется подозрение на рак десны, болит зуб, или наблюдается выделение крови, важно проконсультироваться с врачом.
Лечение: операция и лучевая терапия
Онкологи утверждают, что при своевременном обращении за помощью пациент может рассчитывать на успешное излечение. Именно поэтому так важно знать, как выглядит рак десны – фото в интернете или журналах помогут сориентироваться и при первых подозрениях обратиться к врачу. Также важно регулярно посещать стоматолога, который вовремя заметит новообразование. В зависимости от степени развития болезни, возраста, иммунитета пациента и того, как проявляется рак десен, лечение включает радиотерапию, химиотерапию или хирургическое удаление пораженного участка.
Если рак десны, симптомы, первые признаки диагностированы практически сразу после начала болезни, эффективна лучевая терапия. Она отлично борется со злокачественными опухолями и уничтожает клетки, принадлежащие очагу заболевания. Это достигается воздействием специального излучения. Чтобы победить рак десны, начальная терапия направлена на остановку деления клеток, нарушив их ДНК. Тогда уже существующие клетки тоже погибнут. Минус метода заключается в том, что при лечении страдают здоровые ткани, а продукты распада проникают в кровь.
После лучевой терапии сосуды становятся более ломкими, появляются кровоизлияния. Пациент чувствует тошноту, усталость. Если удалось вылечить рак десен, симптомы, признаки стихают, но у человека выпадают волосы, меняется состав крови и возникают другие реакции, для прохождения которых требуется время. Особенно опасны поздник осложнения после лучевой терапии, фиксируемые спустя 3 месяца с момента лечения.
Если диагностирован рак десны, стадии любого типа поддаются хирургическому лечению при отсутствии противопоказаний. В процессе операции удаляются лимфоузлы и часть десны, пораженной заболеванием. Однако бывает неоперабельный тип при широком метастазировании или сильном поражении органа. Это звучит как приговор, но злокачественная опухоль десны успешно лечится химиотерапией. Иногда она назначается параллельно с лучевым методом для повышения эффективности. Проводится с помощью уколов или таблеток, которые останавливают развитие клеток и удаляют уже имеющиеся.
Химиотерапия: эффективность и особенности
Несмотря на эффективность, химиотерапия назначается при раке десны 2 стадии или на начальном этапе очень редко – только если у пациента есть противопоказания к операции. Ее минус – сильные побочные эффекты, а также непредсказуемость для организма, который может не выдержать нагрузки. Также сложно предсказать, насколько рак десны, симптомы и последствия недуга получится блокировать, и не будут ли все мучения больного напрасными. Процедура практически безболезненна и проводится в форме капельниц либо с помощью таблеток.
Главная цель – воздействовать на раковые клетки ядами и токсинами, содержащимися в препаратах. Если таким способом планируется лечить признаки рака десны, фото внешнего вида больных можно посмотреть в интернете – не всегда у человека выпадают волосы, или он набирает вес. Все зависит от интенсивности и количества процедур. Препараты воздействуют на клетки, которые делятся бесконечно, и их сложно сразу убить. Поэтому если возникает рак десны, начальная стадия блокируется при менее продолжительном курсе, а при метастазировании циклов лечения больше.
Минус в том, что параллельно с пораженными клетками уничтожаются здоровые. Поэтому человек должен принимать витамины и антибиотики, чтобы поддерживать иммунитет. Но даже в этом случае если посмотреть, как выглядит рак десны, фото стадий при химиотерапии и в случае ее отсутствия, видно, что в первом случае пациент выглядит хуже. Побочные эффекты разнообразны: рвота, бессонница, набор веса, выпадение волос. Обычно первыми проявляются хронические заболевания, возникают осложнения в работе сердца, желудка и других органов.
Обычно, когда диагностируется рак десны, начальная фаза может купироваться дополнительными процедурами. Это иглоукалывание, массаж пораженной области. Допустимо использовать народное лечение, но только по согласованию с врачом, чтобы комплексная борьба с недугом дала результат. Многие врачи считают, если выявлен рак десны, начальная стадия может быть приостановлена вегетарианским питанием, поскольку пища животного происхождения замедляет деление клеток. Но этот вопрос обсуждается индивидуально, учитывая состояние больного. Диета необходима, в любом случае.
Если посмотреть, как выглядит рак десен на фото, начальная фаза максимально незаметна. В это время не нужно дополнительно проводить процедуры помимо терапии, назначенной врачом. Человек также может вести привычный образ жизни, если его состояние это позволяет. Допустимо использование компрессов и полосканий на основе трав – они помогут укрепить ткани. Если заболевание концентрируется глубоко в ротовой полости, отслеживать дома рак десны, симптомы фото поможет лучше всего – можно просить родственников фотографировать очаг поражения и сравнивать снимки, наблюдая динамику.
Комплексные методы и профилактика
Отличные результаты дает сочетание методик в зависимости от того, на каком этапе диагностирован недуг. Можно сравнить двух человек, один из которых проходил только химиотерапию, а второму дополнительно назначали лучевую методику. Посмотрев, как выглядит рак десен, фото, начальная степень, можно сказать, что у второго человека эффективность лечения выше. Всегда учитывают интенсивность развития болезни. Если она не прогрессирует, продолжают назначенный курс. Часто химиотерапию сочетают с антибиотиками, что тоже дает отличный результат.
Не только первые признаки рака десны фото помогут проиллюстрировать, но также они показывают рецидивы, при которых болезнь возникает снова. Поэтому так важно после завершения лечения наблюдаться у врача. Особенно это касается первого года с момента излечения. Для профилактики сдается кровь на онкомаркеры, что помогает сразу выявить очаг заболевания. Первое такое обследование проходят через 3-5 месяцев.
Рак десны, начальная стадия (фото можно увидеть в интернете) и его развитие – все это можно предупредить, если регулярно посещать стоматолога, проверяя не только зубы, но и состояние десен. Отсутствие вредных привычек и правильное питание снижают вероятность появления опухоли. Внимательное отношение к организму поможет любому человеку всегда оставаться здоровым.













Это просто какой-то ужас! Что я прочитала только что! Я никогда бы не могла подумать что и на зубах может быть рак…В каком веке мы живем, чем дальше технологии, тем страшнее у нас болезни.
Вы правы, рак — всегда страшно. А возникнуть он может в самых неожиданных местах, даже на деснах, щеках, языке. Единственный совет — следить за собой и не пропускать визиты к стоматологу.