Полип на десне часто появляется неожиданно, и человеку сложно соотнести эту проблему с болезнью, которая развивалась в его организме долгое время. Чаще всего он думает, что все дело в низком иммунитете, принимает витамины, снимает воспаление, надеясь, пока полип пройдет сам. Однако неприятные симптомы усиливаются, что вынуждает человека пойти к врачу, который поясняет, что лечить необходимо не симптом, а причину. Современные методики позволяют сделать это быстро, вернув пациенту хорошее самочувствие.
Почему вырастает полип?
Основная причина появления образований в мягких тканях – чрезмерная активность бактерий, которая приводит к аномальному росту полипов в слизистых оболочках. Доктора говорят, что при такой проблеме, как полип на десне, лечение нужно проводить сразу же после обнаружения болезни, поскольку он способен переродиться в злокачественную опухоль. Во избежание этого нарост чаще всего удаляют. Полипы появляются не только во рту, но также в матке, кишечнике. Специалисты говорят, что у каждого человека может произойти сбой на клеточном уровне, который вызовет патологии мягких тканей.
Чтобы вовремя обнаружить полип на ранней стадии возникновения, достаточно посещать стоматолога 1-2 раза в год. Однако не все люди регулярно ходят к врачам. Чаще всего появление маленькой шишки около зубного корня никто не воспринимает всерьез. Затем нарост увеличивается в размерах, напоминая бородавку. При визуальном осмотре сложно определить, является ли образование злокачественным. Поэтому после удаления полип рекомендуют отправить на биологические исследование, чтобы исключить возможность появления аналогичных наростов на внутренних оболочках и тканях.
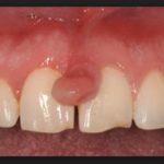
Как полип выглядит на десне, фото в интернете иллюстрируют подробно. Часто вслед за одним полипом во рту появляется еще несколько аналогичных шишек. У них розовый оттенок без резких углов и с гладкой поверхностью. Обнаружить полип можно даже у ребенка. Родители часто путают его с коренным зубом, полагая, что так прорастает резец. Стоит отметить, что у детей полипы диагностируют в форме, которая не опасна и проходит самостоятельно даже без лечения, если у ребенка хороший иммунитет. Всего врачи выделяют три основных типа образований:
- Ангиомотозный – самая простая форма, при которой нарост возникает около основания резца. Он особенно заметен после того, как человек позанимался спортом или перенервничал, поскольку приобретает ярко-алый оттенок.
- Фиброзный – нарост, который быстро растет, мешая пациенту жевать, говорить, чистить зубы. Это доброкачественное образование с плотной основой, которое требует незамедлительного лечения, поскольку может переродиться в опухоль.
- Гигантоклеточный – сильное разрастание полипов, которое сложно контролировать.
Самый опасный тип – последний. Именно гигантоклеточное образование разрушает костную ткань в районе челюстей. Поражение настолько сильное, что прикосновение к участку, где концентрируется заболевание, вызывает кровотечение. Доктора говорят, что причина его появления – гормональный дисбаланс. Лечение требуется незамедлительно, поскольку велика вероятность потери зуба и заражения организма продуктами распада.
Как говорят специалисты, полип на десне появляется из-за постоянного травмирования одного и того же участка, зубного камня, низкого иммунитета. Прием препаратов для нормализации или изменения гормонального фона может приводить к наростам. Нерегулярная гигиена, наличие стоматологических недугов, курение, непрофессионализм врача, удаление резца – все это тоже является причиной появления наростов. Также в процессе диагностики выясняют, есть ли у пациента хронические заболевания – часто они тоже оказывают влияние на появление наростов в области мягких тканей.
Диагностика, прогнозы лечения
После осмотра обязательно выполняют рентген. Также изучают историю болезни пациента, отмечают, могут ли хронические недуги повлиять на состояние ротовой полости. В целом, прогноз благоприятный, поскольку полипы на начальной стадии не являются злокачественными – своевременное их удаление поможет снизить вероятность развития онкологического заболевания.
Часто для проведения детального осмотра требуется удалить зубной камень. Под ним скрываются многие проблемы, а потому, стоит рассчитывать свой бюджет с учетом оплаты этой процедуры, которая необходима для максимально точной проверки состояния ротовой полости. Профессионализм врача в процессе диагностики играет важную роль, ведь специалист должен отличать патологии пульпы, которая вросла в пространство между зубами, и обычный полип на десне, лечение которого проводится иначе.
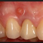
При правильном лечении, начатом на ранней стадии заболевания, прогноз благоприятный. Образования можно быстро удалить, а период реабилитации займет 3-7 дней в зависимости от сложности процедур. Рекомендуется отправить полип на обследование, чтобы исключить вероятность развития злокачественных опухолей во внутренних органах. Важно не пытаться устранить боль, применяя анальгетики или другие препараты. Также не стоит надеяться на народные средства, которые помогут убрать нарост, о не избавят от его причины, из-за чего образование появится снова.
Особенности лечения полипа
Еще несколько лет назад вместе с полипом удаляли пораженный зуб, а затем всю полость санировали, очищая от инфекции. Сегодня применяются более щадящие методы лечения наростов, которые позволяют сохранить резец. Например, доступны консервативные методики, при которых полость промывается растворами через свищевой канал до полного удаления микроорганизмов. Этот процесс длительный, требует параллельного приема антибиотиков, использования специальных мазей и средств для восстановления костных тканей.
Также образование можно удалить быстрее, просто иссекая нарост под местным обезболиванием. Врач надрезает слизистую оболочку и достает плотное образование, из которого сформировался полип. Далее накладывают рассасывающиеся швы. Если заболевание запущено, и у пациента частично разрушены мягкие ткани, на этот участок накладывают донорский эпителий. Прижигание азотом и лазерная терапия при лечении полипов используется редко во избежание травм слизистых покровов.
Пациенту рекомендуют в восстановительный период полоскать рот Хлоргексидином, Мирамистином, обрабатывать рану Левомеколем, Асептой, Солкосерилом, которые снимают боль, ускоряют заживление. Также хорошо работают в этом плане прижигания на основе настойки прополиса, календулы. Необходимо на весь период лечения отказаться от твердой пищи, курения, алкоголя. Далее приходить в клинику рекомендуется 1-2 раза в год – это позволит вовремя выявлять проблемы и устранять их максимально быстро.













У меня было на подобие этого рода,но к стоматологу не обращался, полоскал чайной содой,после вроде все прошло. Скорее всего я вовремя начала полоскать и бактерии только размножались,но все равно не дай Бог лучше обратиться к врачу.
Сода — отличный помощник в борьбе с гнойными выделениями, помогает промывать раны и смывать налет. Но в случае с полипом, вы совершенно правильно обратились к стоматологу. Только врач сможет корректно оценить ситуацию и назначить необходимое лечение. Будьте здоровы!