В сфере стоматологии периодонтит считается одним из самых сложных и опасных недугов. Болезнь поражает людей любого возраста даже при высоком иммунитете. Своевременная диагностика позволяет начать лечение как можно скорее, что очень важно, учитывая высокую вероятность потери зуба при переходе заболевания в острую и хроническую форму. Разнообразие методов, на которых может базироваться лечение каналов периодонтита, позволяет подобрать курс, благодаря которому последствия заболевания удастся ликвидировать эффективно.
Особенности проблемы
Когда речь идет о болезнях зубов и десен, человек, далекий о медицине знает только о кариесе и необходимости проверять состояние ротовой полости 1-2 раза в год. Периодонтит зуба, и что же это за такое заболевание, расскажет любой стоматолог, потому что сталкиваться с недугом приходится постоянно. Можно быстро увидеть поражение дентина или эмали, но повреждения зубного нерва, прикорневых тканей или самого корня сложно диагностировать самостоятельно. Именно периодонтит вызывает вышеуказанные проблемы.
Периодонтит МКБ-10 – класс воспалительных заболеваний, при которых поражаются околокорневые ткани, корни зубов. Возникает недуг, когда корневому каналу в основание корня попадает инфекция. Этому способствует целый спектр причин, начиная с невылеченного кариеса и заканчивая серьезным пародонтитом. Инфекция сначала доходит до области пульпы, затем по корневому каналу продвигается вглубь зуба, и недуг в запущенных стадиях может разрушить его. Хотя доктора пытаются сохранить зуб, применяя современные методики, позволяющие избежать протезирования в будущем.
Начало заболевания очень сложно определить, часто оно диагностируется только в больнице. Обострение периодонтита происходит из-за присутствия патогенной микрофлоры в организме. Его вызывают пневмококки, стрептококки, спирохеты, проникающие в карман десны или отверстие в зубе. Далее инфекция может долгое время себя не проявлять, но обостриться при стрессе, переохлаждении, ослаблении иммунитета из-за перенесенного заболевания. Так, пульпит и периодонтит часто возникают друг за другом. Невылеченный кариес или другие проблемы с зубами – первый шаг на пути к заражению.
Наличие любого воспалительного процесса в организме создает благоприятную почву для развития болезни, в результате чего поражение корневого канала зуба при периодонтите происходит быстро и требует незамедлительного лечения, ведь инфекция разносится не только по ротовой полости, но также по всему организму. Недугу подвержены пациенты любого возраста, поэтому детей тоже нужно регулярно водить к стоматологу, а не только следить, чтобы они регулярно чистили зубы.
Классификация
В зависимости от локализации различают апикальный периодонтит, при котором поражается верхушка корня, боковой и маргинальный с расположением очага инфекции у края десны. Симптомы и методы лечения во всех случаях отличаются, что еще раз подтверждает важность профессиональной диагностики для формирования эффективного терапевтического курса. Также существует классификация типов недуга с учетом причин и заболеваний, выступивших в качестве провоцирующего фактора. В этом случае различают:
- Инфекционный периодонтит МКБ, который вызывают микробы, попавшие в корневую систему из-за пульпита или через карман в области десны, образованный при пародонтите и других заболеваниях;
- Травматический – фиксируется при хронических, острых травмах. Например, перфорация зуба, надкусывание твердой пищи, удар – это острые травмы. Хронический периодонтит возникает из-за вредных привычек, неправильно установленных пломб, других действий, механически повреждающих зуб.
- Медикаментозный – вызван использованием лекарств с токсичными компонентами (фенол, мышьяк, формалин).
В зависимости от течения выделяют острый периодонтит и хроническую форму. Первый бывает гнойным, серозным, исходя из типа инфекции. Для хронического варианта характерно разделение на три группы: фиброзный, гранулирующий и гранулематозный если ткань около зуба уплотняется, говорят о фиброзной форме. При разрастании соединительной ткани на фоне воспаления речь возникает гранулированный периодонтит. Если очаг воспаления выглядит как замкнутая полость с гноем, которая постоянно увеличивается, постепенно разрушая ткань зуба, диагностируют гранулематозный вид.
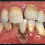
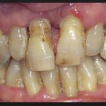
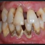
Стоматологи выделяют три степени протекания болезни. На первой и самой легкой стадии образуется карман в десне глубиной до 4 мм. Пока ощущения неприятные, но терпимые. Изменения в костной ткани еще не начались. Средняя степень тяжести характеризуется увеличением глубины кармана до 6 мм. Такой периодонтит симптомы имеет более явные: корни зубов слегка оголяются, десны воспалены, зубы становятся подвижными. Тяжелая стадия – это карман глубиной уже до 9 мм, сильное нагноение. Зубы меняют свое положение, а их подвижность настолько сильная, что не позволяет нормально питаться.
На какие симптомы обратить внимание?
Острый периодонтит выявить проще всего. О воспалительном процессе сигнализирует повышенная температура, при которой увеличиваются, становятся болезненными лимфоузлы. Человеку становится сложно жевать и кусать пищу. Дискомфорт в зубах возникает при надавливании, если периодонтит серозный, но гнойный периодонтит провоцирует появление постоянной ноющей боли, вызывает ощущение пульсации, отдавая в ухо, распространяясь по всей челюсти и на здоровые зубы. Окружающие ткани краснеют, может распухнуть щека. Появляется ощущение, что зуб отделился от остального ряда.
Хронический периодонтит зуба боли практически не вызывает, если речь идет о фиброзной форме. Только по рентгену можно диагностировать недуг. Ощущается тяжесть, подвижность пораженных зубов, их оттенок может меняться. Бывает так, что человек живет много лет с хронической формой и не подозревает об этом, поскольку визуального осмотра порой недостаточно для постановки диагноза. При обострении симптомы такие же, как при острой стадии
Гранулирующий периодонтит вызывает сильную боль в пораженном зубе, отек десны, при котором она может приобрести даже синий оттенок. Болевые ощущения возникают в форме приступов и усиливаются при жевании или температурном воздействии (когда человек ест мороженое, пьет горячий чай). Обострение периодонтита провоцирует формирование свища с серозным или гнойным содержимым. Его ход открывается на шее или лице, и после разрыва образования с последующим оттоком гноя возникает временное облегчение, после чего болезнь переходит в хроническую фазу.
Гранулематозный периодонтит приводит к образованию гранулемы, но этот процесс не отмечается явными симптомами. Хотя люди могут отмечать подвижность зубов, изменение их оттенка или боли при приеме пищи. Также может выпасть ранее установленная пломба. Если киста при росте смещается в сторону, при пальпации чувствуется набухание десны, небольшое уплотнение в пораженной области.
Все формы периодонтита могут вызывать опасные осложнения. Острая фаза приводит к флюсу, абсцессу, образованию флегмоны. Костная ткань постепенно разрушается, из-за чего зуб может выпасть. Гранулемы перерождаются в кисты. Прорастая в верхние пазухи, они приводят к гаймориту. Если возникает гранулематозный периодонтит, киста становится причиной формирования хронического свища. Присутствие инфекционного очага создает благоприятную почву для развития бактерий, угнетения иммунитета. Попадание гноя в организм чревато сепсисом, нарушением в работе внутренних органов.
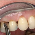
Первоочередную важность приобретает диагностика периодонтита – анализ жалоб пациента, данные медицинского осмотра.
Проводится термопроба, которая при наличии заболевания отрицательная. Очаг воспаления часто малозаметен при внешнем осмотре. Поэтому обязателен рентген, позволяющий определить степень поражения и состояние больного зуба после периодонтита. По результатам исследований ставится диагноз, формируется терапевтический курс. Не стоит пытаться справиться с болезнью домашними средствами – недуг сложно поддается лечению даже при помощи действенных медикаментов.
Лечение периодонтита
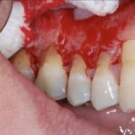
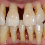
Если диагностирован периодонтит зуба, лечение начинают незамедлительно. Тактика формируется в зависимости от стадии и основных проявлений. Первое, что назначают всегда – это пасты, способствующие рассасыванию кист и других образований в ротовой полости. Они способствуют быстрой регенерации костного материала, который разрушается при болезни зубов. Консервативная терапия отлично работает на начальном этапе, но в запущенных случаях гранулирующий периодонтит и другие формы устраняют при помощи резекции. Врачи стараются сохранить зуб, но иногда это сделать невозможно.
Верхушечный тип обычно не предполагает удаление зуба. Основная цель в данном случае – ликвидировать очаг воспаления, предотвратив заражение соседних зубов. Лечение каналов периодонтита сводится к удалению гноя или серозного образования в зубном канале, обработке антисептиком. В пораженный участок вводится турунда – марлевый тампон, смоченный лекарством. Канал закрывают временной пломбой, оставляют на 1-3 дня. После этого проверяют результат лечения, после чего назначают лекарства, мази, пасты при периодонтите для поддерживающей терапии, ускоряющие заживление.
Во время сильного воспаления сначала освобождают каналы от содержимого. Для этого применяют дренаж через десну, корневые каналы или лунку, если зуб был удален. Если апикальный периодонтит локализован глубже, разрезают переходную складку. Обычно этот метод применяется при абсцессе, которое является одним из осложнений заболевания. Все манипуляции осуществляют под местным обезболиванием, чтобы добраться до пораженного участка без причинения дискомфорта пациенту.
Антибиотики при периодонтите обычно назначаются. Не стоит отказываться от их приема, мотивируя это тем, что естественная микрофлора разрушится. Современные препараты действуют бережно, а пробиотики в комплексе с основным лечением, позволят быстро восстановить функционирование организма. Также после лечения периодонтита принимают анальгетики для купирования боли. Одна из важных задач – не допустить аутоинтоксикации, при которой организм отравляется вырабатываемыми веществами в результате нарушений в его работе. Поэтому показан прием антигистаминных препаратов.
Лечение гангренозного периодонтита проводится с применением анестезии на основе ультракаина и ледокаина. Важно исключить аллергическую реакцию на данные вещества. Если у пациента уже наблюдаются симптомы воспаления надкостницы, абсцесс иссекают. После процедуры рекомендуется постоянно полоскать ротовую полость отварами на основе эвкалипта, ромашки и соды. Если гранулированный периодонтит или другая его разновидность сопровождается болями, нужно дождаться стихания воспаления, а затем продолжать лечение. Далее канал пломбируют, наблюдая состояние больного.
Иногда выделение гноя или серного содержимого продолжается. Пломбирование каналов при периодонтите производится только после дренирования. Бывает, что у зуба много корней, они переплетены, каналы отличаются сложной проходимостью. В качестве альтернативы применяется серебрение растворами, после чего канал на 3-4 дня закрывают. Если обострение хронического периодонтита вызвано действием агрессивных факторов, то сначала устраняют их, попутно уменьшая выделение гноя. Каналы обрабатываются средствами, снижающими интенсивность образования содержимого.
Если обострился хронический апикальный периодонтит, сначала ликвидируется причина (особенно, если это травматический тип). Врач снимает избыток пломбы, ликвидирует сколы и проводит другие манипуляции. Если в результате травмы зуб сместился, что вызвало периодонтит, лечение назначается только после рентгена, потому что изменение в строении и расположении пучка нервов может усложнить борьбу с болезнью и требует подбора правильной методики. Также это позволяет подтвердить или опровергнуть факт перелома зубного корня.
Хронический периодонтит – как бороться?
Если у пациента хронический периодонтит, лечение аналогично борьбе с гнойной формой. Особое внимание врач уделяет процедуре дренирования зубных каналов, которая проводится до тех пор, пока содержимое участка не будет свободно вытекать. Это особенно важно для зубов с множественными корнями. Чтобы определить, какой корневой канал подлежит дренированию, делают рентген. После устранения воспаления периодонтит МКБ лечат путем обработки каналов антисептиками. Рекомендуется избегать переохлаждения или травмы участка, поскольку за этим почти всегда следует удаление зуба.
Если возник фиброзный хронический периодонтит, лечение проводится без сильного расширения корневого отверстия, а мощность всех используемых устройств снижают. Ставится временная пломба на срок 3-6 месяцев, после чего проводится повторный прием и наблюдение за результатом. Все это время периодонтит МКБ-10 нужно наблюдать в процессе обследований. В качестве дополнительных мер по восстановлению назначают магнитную терапию, электрофорез и другие физиотерапевтические процедуры.
Болезнь обычно оказывает существенное влияние на иммунитет. Именно поэтому, если диагностирован периодонтит зуба, лечение обязательно включает прием препаратов, повышающих защитные силы организма и устраняющих дефицит полезных веществ. Без них восстановительный период у пожилых пациентов и детей затягивается, иногда достигая 6-10 месяцев. Сильное поражение тканей приводит к тому, что снова возникает периодонтит – симптомы проблемы могут вернуться, и тогда останется только удалить поврежденный зуб.
Своевременное лечение всех заболеваний ротовой полости поможет избежать протезирования. Первый шаг – регулярный осмотр, удаление зубного камня. Часто пульпит и периодонтит возникают друг за другом. Поэтому важно регулярно лечить кариозные образования и следить за состоянием зубов. Если хроническая инфекция уже присутствует, важно проводить санацию по мере необходимости, выполнять указания доктора. Чтобы периодонтит после лечения не возобновился, показан прием препаратов для повышения иммунитета.
Обычно помимо наблюдения у врача показано правильное питание, наличие необходимых витаминов в рационе. Если их недостаточно, допустим прием специальных комплексов. Также некоторые препараты провоцируют проблемы с зубами, вызывая их расшатывание. Стоит обратиться к врачу, чтобы изменить курс лечения, попробовав использовать другие лекарственные средства.
Заболевание у детей
Детские зубы подвержены инфекциям больше, чем у взрослых. Эмаль еще тонкая, а ткани – рыхлые. Именно поэтому любое заболевание ротовой полости развивается стремительно. Сначала возникает пульпит, а затем и периодонтит молочных зубов. Поэтому медлить с обращением к доктору нельзя. Также ошибочно думать, что молочный зуб выпадет, и вместо него просто вырастет коренной. До этого инфекция успеет распространиться по всем зубам и даже проникнуть так глубоко в ткани, что потом периодонтит после формирования коренного зуба возникнет снова.
Травма – одна из причин заболевания. Например, когда ребенок только начинает ходить, он может упасть и удариться зубами. Также спортивные занятия или слишком активные игры приводят к травмированию зубных тканей. В результате возникает кариес. Если его игнорировать, лечение пульпита и периодонтита придется проводить одновременно. Также в списке причин, вызывающих болезнь:
- инфекционные и вирусные заболевания, простуды (особенно опасны они при кариесе);
- употребление лекарств и лечение других сложных заболеваний, угнетающих иммунитет;
- наследственный периодонтит у детей, обусловленный генетическими проблемами с зубами;
- некачественное лечение кариеса, заболеваний десен и ротовой полости;
- отсутствие или неправильная гигиена, которая приводит к развитию патогенной микрофлоры.
Очень важно, чтобы родители изначально прививали ребенку основы правильного ухода за зубами. Часто периодонтит у детей возникает при неправильном выборе щетки. Для маленького ребенка лучше выбирать мягкую щетку. Чистить зубы можно 1-2 раза. Многие стоматологи рекомендуют один раз обходиться без пасты, прополаскивая рот водой. Например, утром можно чистить зубы и использовать пасту, а вечером ее не применять. Так эмаль минимально травмируется.Периодонтит молочного зуба трудно лечить, и важно предупредить его развитие простыми процедурами по уходу за ротовой полостью.
Особенности лечения детского периодонтита
Сначала обязательно делают рентген, чтобы понять точную картину недуга и провести диагностику. По результату стоматолог принимает решение как лечить периодонтит, и стоит ли это делать – в некоторых случаях показано только удаление зуба. Обычно такая ситуация возникает при запущенной стадии болезни, когда корень поражен, а зуб становится подвижным. Также приближение соседних зубов является показанием к удалению. В остальных случаях стараются лечить периодонтит молочного зуба, выбирая методику в зависимости от локализации воспаления и стадии недуга.
Во многом курс похож на терапию при болезни у взрослых. Разница заключается только в медикаментах. При сильных признаках интоксикации показан покой и постельный режим. Если возникает периодонтит, симптомы купируются, и лечение ускоряется при использовании пасты, которая накладывается на пораженную область и рассасывается. Обязательно применяются противовоспалительные средства и антибиотики в комплексе с пробиотиками для восстановления микрофлоры. Если у ребенка хронический периодонтит, лечение начинают после того, как прошли симптомы, присущие острой форме.
Для эффективного лечения нужно будет несколько посещений врача. Сначала стоматолог удаляет зараженные ткани и извлекает продукты распада. Затем полость и каналы обрабатываются обеззараживающими составами. Устанавливается временная пломба. В течение определенного срока смотрят, как развивается периодонтит: симптомы исчезли, и лечение дало результат – значит, можно ставить постоянную пломбу. Если степень интоксикации слишком высокая, зуб решают удалить вне зависимости от степени недуга.
Часто запущенный периодонтит приводит к гнойному периоститу и требует хирургического вмешательства. Даже зная о том, насколько опасен периодонтит зуба, и что же это за такое заболевание, многие предпочитают игнорировать боль, используя лекарства для купирования неприятных симптомов и надеясь отсрочить поход в больницу. Но недуг может развиваться стремительно, поражая соседние зубы. Если на фоне болезни возник периостит, врач разрезает десну, выпускает серозные и гнойные массы. Потом на 10 дней зуб оставляют и смотрят на динамику развития недуга.
Если диагностирован периодонтит, лечение будет эффективным, благодаря профессионализму врача. Поэтому важно обратиться к грамотному специалисту и выполнять все его рекомендации. Это особенно важно, если речь идет о ребенке, который боится ходить в больницу. Необходимо морально подготовить малыша и объяснить ему важность своевременного лечения.
Несмотря на то, что подвижность зуба может быть одним из симптомов периодонтита, необязательно она является первопричиной. Сахарный диабет, патологии щитовидной железы, псориаз, нарушение метаболизма, другие хронические заболевания могут провоцировать расшатывание коренных зубов. Также пародонтит, гингивит и другие недуги, протекающие в скрытой форме, часто провоцируют такую проблему. В период полового созревания из-за гормональных скачков может нарушаться нормальное питание зуба, либо бруксизм может спровоцировать расшатывание.
Пациенты любого возраста обязаны 1-2 раза в год посещать стоматолога для выявления проблем с зубами и деснами. Лечить заболевание на ранней стадии намного проще и дешевле. Приучив себя к регулярному осмотру и правильному уходу за ротовой полостью, вы сохраните зубы даже в преклонном возрасте, не утруждая себя установкой дорогих имплантов. Лечите периодонтит вовремя и будьте здоровы.





















