Фиолетовые десны – это патология, указывающая на наличие заболевания ротовой полости. Такой тревожный симптом свидетельствует о том, что недуг находится в острой фазе, и важно применить все эффективные методы лечения, чтобы помочь пациенту. Обычно это происходит, когда человек пренебрегает регулярным посещением врача. Причины фиолетовых десен часто кроются в ненадлежащей гигиене и игнорировании заболеваний, борьба с которыми могла бы предотвратить неприятное явление. Не стоит откладывать визит к специалисту, поскольку так можно запустить болезнь и даже лишиться зубов.
Почему меняется цвет?
Первое, что сразу выясняет врач на приеме – не было ли у пациента механической травмы, спровоцировавшей изменение цвета слизистой оболочки. Часто не только удар, падение, но также банальная чистка зубов слишком жесткой щеткой приводит к изменению цвета мягких образований. Кроме того, причины фиолетовых десен объясняются следующими опасными недугами, которые диагностируются при осмотре:
Гингивит – воспалительный процесс, поражающий мягкие поверхности. Болезнь начинается из-за того, что пациент пренебрегает правильным уходом за полостью рта, из-за чего в нем остаются болезнетворные микроорганизмы, которые постепенно поражают слизистые оболочки. Фиолетовые десны свидетельствуют о том, что недуг перешел в острую фазу, а лечение нужно начинать незамедлительно.
Окрашивание мягких тканей в результате употребления вина, чая, газированных и других напитков, продуктов с красителями. Обычно после чистки зубов проблема исчезает.
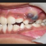
Также если родители не могут понять, почему синеют десна у детей, стоит отправиться к стоматологу. Чаще всего причины заключается в поражении мягких тканей инфекцией, которая скапливается в ранке и вызывает воспаление. Нередко младенцы тоже сталкиваются с подобной проблемой при прорезывании зубов. Синяя десна у ребенка наблюдается при травмировании тканей резцом на этапе его активного роста. Возникает подкожная гематома – сегодня эту проблему успешно лечат в любой клинике.
Некачественное протезирование может приносить пациенту множество проблем. Среди них – изменение цвета слизистых оболочек. Если протез установлен неправильно, ухудшается кровоснабжение мягких тканей, они получают меньше кислорода. Появляется образование, похожее на небольшую шишку. Что делать с синей десной, нужно решать незамедлительно, чтобы избежать некроза.
Основные симптомы
Иногда мягкие покровы меняют цвет, но пациент изначально может этого не заметить. Например, так часто происходит, если пораженный участок плохо просматривается в обычной жизни – увидеть проблему сможет только доктор. Также в зависимости от того, почему синеют десна, проблема может не проявляться. Например, при употреблении еды и напитков, окрашивающих мягкие ткани, никаких болей нет.
Однако гингивит при острой фазе проявляется достаточно явно. Человек начинает ощущать сильную боль во время еды, ему тяжело пережевывать пищу. Повышается температура, а сбить ее специальными средствами довольно сложно. На фоне всего этого человек видит, что десны стали фиолетовыми. Они могут беспокоить зудом, жжением, а мягкие ткани будут выглядеть отечными. При незначительном воздействии может наблюдаться выделение крови.
Если после установки протезов десна посинела и болит, попутно появляется чувство легкого онемения, связанного с недостаточным питанием тканей. Человеку становится сложно жевать пищу и даже говорить. Самое печальное, что порой люди считают такие симптомы нормальными, связывая их с привыканием к новым конструкциям. Однако врачи предупреждают: десны фиолетового цвета являются одним из признаков патологии, которую нужно сразу устранять. Поэтому консультация специалиста необходима.
Эффективное лечение
Важно заняться устранением самой проблемы, поскольку изменение цвета мягких тканей чаще всего является сопутствующим симптомом, который проходит после выздоровления. Сначала специалисту важно установить, почему десна фиолетовые. Для этого потребуется не только визуальный осмотр, но также анализ крови, по которому можно установить наличие либо отсутствие воспаления. Такой способ подходит для диагностики гингивита. Обязательно проводится гигиеническая чистка со снятием зубного камня, ведь именно под ним может скрываться источник инфекции.
Если наблюдается у взрослого или у ребенка фиолетовая десна, доктора назначают обезболивающие препараты, антибиотики. Отказываться от приема последних не стоит, если диагностирован гингивит. Именно антибиотики помогут бороться с патогенной микрофлорой, а назначенные пробиотики восстановят нормальное функционирование организма. Если причина крылась к неправильно подобранном протезе, его меняют, а пациенту назначают мази, гели для улучшения кровотока. При любой проблеме с мягкими тканями показан легкий массаж, которому обучают врачи.
Хорошо зарекомендовали себя физиотерапевтические процедуры: магнитотерапия, электрофорез, гидромассаж. Также специалисты не против того, чтобы пациент использовал домашние средства, но только в комплексе с основным лечением. Например, для этого отлично подойдут полоскания на основе ромашки, коры дуба, шалфея. Можно использовать аппликации из мази с прополисом, наносить на мягкие ткани мед или сок алоэ. Однако если фиолетовая десна наблюдается при прорезывании зубов именно у ребенка (особенно у младенца), перед использованием народных средств посоветуйтесь со врачом.
На период лечения необходимо полностью отказаться от курения, алкоголя, жесткой, твердой пищи, продуктов, которые могут вызывать раздражение слизистых оболочек. Также щетку меняют на новую, а чистку проводят 1-2 раза в день, не забывая полоскать ротовую полость после каждого приема пищи. Не забывайте посещать врача не только во время острой стадии недуга, но и на регулярной основе, чтобы не допустить подобных проблем. Сегодня поддерживать здоровье зубов и мягких тканей стало проще, чем раньше. Современные методы диагностики и лечения помогут человеку оставаться здоровым.











