Слабость десен обусловлена многими факторами, но часто проблему предпочитают игнорировать и к врачу идут, когда появляется нестерпимая боль, либо когда мягкие ткани кровоточат так, что это становится эстетическим недостатком и мешает в повседневной жизни. Немногие знают, что рыхлые десны – предвестник многих серьезных заболеваний, которые можно остановить на начальном этапе.
Проявления и симптомы
Стоматологи говорят, что выделение крови при чистке зубов периодически происходит у всех людей. Этому способствуют чересчур резкое или интенсивное нажатие на щетку, неосторожное движение в процессе гигиены полости рта. Насторожиться стоит, если кровь появляется регулярно, ее количество увеличивается. Это означает, что десна стала рыхлой, и внутри начался процесс разрушения. В запущенных случаях кровоточивость появляется уже просто так, без воздействия на ткани. Проблема возникает во время приема пищи и даже в процессе разговора. Среди других проявлений выделяют:
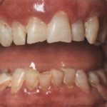
- Отек слизистой оболочки – она становится синюшной или даже с фиолетовым оттенком. Появляется темная полоса на стыке с зубом.
- Выделение гноя или слизи, появление неприятного запаха во рту, который не убирается чисткой зубов или полосканиями.
- Рыхлые кровоточащие десны плохо держат зубы, в результате чего они оголяются, начинают шататься.
- Возникает сильная ноющая боль в пораженной области.
Наличие проблемы обусловлено болезнями, которые могут относиться к стоматологической сфере либо касаться поражения других органов. Стоматологи утверждают, что причиной ослабления мягких тканей по рту бывает развивающийся пародонтит, гингивит, периодонтит. Они вызываются патогенной микрофлорой, которая поражает слизистые оболочки, а затем – зубы. Пародонтоз не связан с бактериями, а вызывает уменьшение перегородки, расположенной между зубами, из-за чего они становятся более подвижными и чувствительными.
Рыхлая десна после удаления зуба – нормальное явление. На этом месте образуется ранка, которая медленно затягивается (особенно если у человека низкий иммунитет), а также дополнительно раздражается едой либо щеткой в процессе чистки. Через некоторое время проблема уйдет – обычно для этого требуется 10-12 дней. Но если боль, выделения крови продолжаются, стоит обратиться к доктору за консультацией.
Если рыхлые десна у взрослого часто возникают по причине болезней, то ребенок может страдать от этой проблемы, когда у него появляются молочные зубки. Параллельно возникает высокая температура, слабость, плохое настроение. После формирования резцов обычно состояние стабилизируется. Можно посетить доктора, который порекомендует средства для снятия боли и воспаления, допустимые к приему детьми.
Если у больного рыхлые десна, причины могут крыться в неправильном прикусе, когда больной травмирует мягкие ткани во время приема пищи или разговора. Также многие недооценивают важность процедуры по удалению зубного камня, который постепенно смещается к корням резцов и начинает давить на мягкие структуры во рту, провоцируя появление крови. Кариес – еще одна причина проблемы. Важно сначала исключить стоматологические недуги, и возможно, проблема уйдет.
Нестоматологические причины
Иногда рыхлые десна кровоточат при здоровых зубах. Это происходит при нарушении работы щитовидной железы, гормональном дисбалансе, псориазе, сахарном диабете, низком иммунитете. У человека бывает индивидуальная чувствительность десен, когда они легко травмируются – причиной часто бывает наследственность. Также проявления артрита часто бывают в виде выделения крови из мягких тканей, хотя происходит это в запущенных случаях. Многие челюстные травмы сопровождаются кровоточивостью десенных тканей, хотя в этом случае она проходит быстро.
Рыхлые десна после родов или беременности – нормальное явление. В первом случае организм изношен, потому что некоторое время работал с удвоенной силой. На этапе вынашивания ребенка происходит перестройка внутренних процессов у матери, и гормональный дисбаланс, а также недостаток витаминов вызывает кровоточивость во рту. Важно сразу определить причину проблемы. Часто она кроется в питании, и тогда рекомендуют налегать на яблоки, морковь, зелень, цитрусовые. Дополнительно назначают препараты с микроэлементами, которые сейчас у женщины в дефиците.
Немногие знают, что токсикоз приводит к ослаблению мягких тканей. Если такое состояние наблюдается часто, нужно сразу же прополаскивать рот специальным раствором. Частая чистка зубов – не самое лучшее решение, ведь она стирает эмаль. Поэтому врачи рекомендуют очищать поверхность зубов 1-2 раза в день, а все остальное время практиковать полоскания. Щетку нужно подобрать со средней жесткостью, менять ее 1 раз в 3 месяца.
Народные средства
Если у человека рыхлые десна, лечение народными средствами в сочетании с основной терапией поможет укрепить их поверхность, убрать боль. Параллельно важно лечить первоисточник – заболевание, вызвавшее данный симптом. Хорошо работают полоскания на основе отваров из ромашки, коры дуба, шалфея, хрена, зверобоя. Их можно готовить самостоятельно или купить сбор в аптеке. Смесь заливают кипятком, процеживают, остужают, полощут рот как можно чаще. Также можно использовать один из следующих рецептов:
- В половине стакана воды для раствора, используемого при полосканиях, разведите 2 капли масла чайного дерева, известного своими антисептическими и ранозаживляющими свойствами.
- Если десны стали рыхлыми, поможет настойка, для приготовления которой в 2-х стаканах кипятка разводят по чайной ложке коры дуба и липы. Средство используется для полосканий.
- Скорая помощь для обеззараживания десен – коньяк, которым тоже можно промыть полость рта.
- В 500 миллилитрах воды растворяют 1 столовую ложку сушеного репейника, остужают, процеживают, полученным раствором прополаскивая рот.
Полезно массировать пораженные области, не забыв предварительно продезинфицировать руки. Движения должны быть интенсивными и в вертикальном направлении, проходить вдоль зубов. Каждый участок массируется 15-20 секунд. Можно нанести на пальцы масло чайного дерева или мед. Также при выделениях крови помогут примочки из отвара хвои, сока подорожника. Средствами смачивают ватный тампон, прикладывают к пораженным областям.
Что посоветует врач?
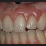
При такой проблеме, как рыхлые десна, лечение должен назначить врач. Допускается использовать домашние средства, но только после приема у специалиста, который исключит наличие стоматологических недугов. Часто требуется снять зубной камень и только потом проверять ротовую полость, поскольку налет скрывает повреждения зубов и тканей. Для их восстановления после ликвидации первопричин врач назначает полоскание рта медицинскими растворами, которые убивают микробы и усиливают регенерацию, попутно освежая дыхание.
Рыхлая десна после удаления зуба не требует особого лечения, поскольку проблема проходит сама по себе. Но для облегчения неприятных проявлений и с целью обеззараживания чувствительной области применяют гели и мази. Их наносят на больной участок, оставляя до полного впитывания. Рекомендуется в течение 30-60 минут воздерживаться от приема пищи. Хорошо работать адгезивные бальзамы, которые при нанесении формируют защитную пленку, и средство продолжает действовать, даже при воздействии слюны на поверхность.
Рыхлые десны нужно обрабатывать специальной зубной пастой с лечебно-профилактическим эффектом. Также иногда достаточно сменить щетку на менее жесткий вариант, чтобы избавиться от боли. Стоит включить в ежедневный уход зубную нить, которая эффективно удаляет остатки пищи, предупреждая развитие патогенной флоры. Полезен массаж, который проводят в качестве лечения и профилактики, используя масло облепихи, шиповника.
Для укрепления тканей полезна специальная зарядка, которая занимает 1-2 минуты и выполняется после еды либо массажа. Нужно закрыть рот и стиснуть зубы, надуть щеки. Затем имитируйте полоскание, расслабив язык, который должен свободно двигаться. Далее язык прижмите к небу и держите губы сомкнутыми. Откройте и закройте рот 10 раз, следя за тем, чтобы зубы слегка постукивали (но не переусердствуйте – важно просто усилить кровообращение в этой области). Регулярная профилактика с помощью простых упражнений и средств – лучшая защита от проблем с деснами и зубами!













Я согласен с автором,нужно следить за состоянием десен и зубов. Хороши регулярные полоскания настоями лекарственных трав,особенно нравится кора дуба. Узнал,что еще применяется лечебная гимнастика для зубов и десен.Это интересно!