Заболевания ротовой полости – проблема, с которой хотя бы раз в жизни сталкивается каждый человека. Под воздействием негативных факторов, стоматологических недугов и других причин чувствительные ткани поражаются, на них возникают язвочки, другие образования. Лесной бальзам гель помогает быстро купировать неприятные симптомы и повысить эффективность назначенного лечения. Самое главное – начать бороться с болезнью как можно скорее. Современные методики, грамотный подход помогут вернуться к прежнему образу жизни за короткий срок.
Особенности средства
Актив гель Лесной бальзам производится на водной основе. Получаемая в итоге легкая текстура облегчает его нанесение, что особенно важно, когда слизистые оболочки поражены, прикосновение к ним вызывает боль. В отличие от обычных жидких ополаскивателей данное средство дольше остается на поверхностях, продолжая воздействовать на пораженные участки. Этому способствует более густая, вязкая структура, тогда как жидкие аналоги быстро смываются слюной уже в первые минуты после использования, возвращая неприятный запах, создавая условия для размножения бактерий.
Гель ополаскиватель Лесной бальзам проникает внутрь эмали через микроскопические поры, запечатывает повреждения и предотвращает попадание инфекции в ткани зуба. Благодаря содержанию активных компонентов в составе, быстро уничтожает патогенную микрофлору. Даже если Лесной бальзам гель применяется для десен всего 1 раз в день, это вполне хватает, чтобы провести лечения, поскольку после нанесения на поверхностях остается тончайшая пленка. Она не только создает защитный барьер, но также обеспечивает пролонгированный эффект не менее чем на 10 часов.
Организм хорошо воспринимает данное средство, ведь в его составе присутствуют микрокапсулы биологического происхождения, которые по своим свойствам сходи с эмалью и не считаются чужеродными. Ранее серия включала в себя 2-3 активных компонента, а сегодня Лесной бальзам актив гель 10 компонентов в 1 флаконе содержит в обновленной версии. Многие из них – это натуральные вытяжки из растений, известных своими заживляющими свойствами.
Натуральный состав для эффективного лечения
Данное средство включает в себя растительные экстракты, которые получены методом вакуумной концентрации. Это особый способ переработки растений, при котором отвары доводят до температуры 35 градусов – считается, что именно так можно максимально сохранить их полезные свойства. Именно поэтому Лесной бальзам гель настолько богат ценными соединениями – он содержит 90% натуральных витаминов. Основу составляют отвары чистотела, ромашки, коры дуба, тысячелистника, крапивы. Именно эти растения положительно влияют на здоровье ротовой полости. Прочие особенности:
- чистотел и ромашка известны как средства, ускоряющие заживление тканей при эрозиях и язвах, снимают вероятность развития осложнений в результате лечения стоматологических недугов;
- тысячелистник и кора дуба борются с патогенными микроорганизмами, уменьшают нагноения и кровоточивость, дают организму витамины, необходимые для более быстрого восстановления;
- женьшень ценится за антисептические и регенерирующие свойства, благодаря чему, актив гель Лесной бальзам самовосстановление обеспечивает в максимально короткий срок.
Также стоит выделить масло пихты, которое является источником ценных аминокислот. Благодаря ему, обеспечивается противовоспалительное воздействие. Данный компонент активно устраняет некоторые виды бактерий и грибков, снимая воспалительный процесс. Это отличная помощь при острой или хронической форме недуга. Дополнительный бонус – свежее дыхание в течение нескольких часов.
Показания и лечение
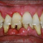
Когда Лесной бальзам гель назначается для десен, инструкция указывает, что препарат можно использовать для профилактики или купирования симптомов, связанных с заболеваниями зубов и мягких тканей. Это отличное средство при гингивите, стоматите, пародонтозе, кандидозе. Врачи часто рекомендуют купить Лесной бальзам гель специально для десен, если у пациента наблюдается сыпь или повышенная чувствительность эмали. Также средство помогает в лечении и снятии болевого синдрома, когда в разрушенных коронках открыты каналы с нервами.
Применять средство также можно для уменьшения процессов образования зубного камня. На Лесной бальзам гель отзывы также хороши в вопросах профилактики кариеса и укрепления мягких тканей. Пациенты говорят, что средство снижает чувствительность зубов и делает мягкие поверхности более крепкими. У него практически нет противопоказаний. Желательно только убедиться, что у пациента нет аллергии на хвойный экстракт. Также перед тем, как использовать актив гель Лесной бальзам, беременным желательно посоветоваться с врачом.
Сначала необходимо почистить зубы щеткой или обработать их зубной нитью. Далее жидкость наливают в колпачок от средства и прополаскивают ею рот 30-40 секунд. Далее не нужно промывать ротовую полость водой и желательно воздержаться от приема пищи как можно дольше. Лесной бальзам ополаскиватель актив гель подарит здоровье и позволит как можно скорее избавиться от любого стоматологического недуга.















Хорошая статья! Пользовался этим бальзамом,результат не заставил себя долго ждать! Запах через неделю исчез,и заметилось улучшение состояния ротовой полости, улучшилось состояние десен! Пользуюсь этой серией бальзамов,и всем рекомендую! Результат ,как говорится на лицо!