Лесной бальзам для десен давно известен в среде стоматологов и людей, которые задумываются об эффективной профилактике заболеваний ротовой полости. Данное средство, действительно, поможет решить эту задачу, ведь входящие в его состав компоненты эффективно борются с инфекцией, укрепляют мягкие ткани, создают защитный барьер, через который инфекции сложно будет проникнуть внутрь. Применение ополаскивателя специально для десен Лесной бальзам ускоряет заживление повреждений при стоматологических заболеваниях, ускоряя лечение и возвращая пациенту хорошее самочувствие.
Кому подойдет лесной бальзам для десен?
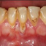
Согласно исследованиям, большинство заболеваний ротовой полости начинаются из-за проникновения внутрь инфекции, бактерий, патогенной микрофлоры, которая из-за низкого защитного порога поражает ткани, обостряясь под воздействием неблагоприятных факторов (стресс, переохлаждение, сопутствующие недуги). Лесной бальзам ополаскиватель используется для десен именно с целью эффективной борьбы с вредными возбудителями. Он защищает раны и мелкие порезы, создавая защитный барьер на поверхностях, а также борется с неприятным запахом, причиной которого являются микробы.
Специалисты часто в комплексе с уже назначенными препаратами также рекомендуют Лесной бальзам против воспаления десен при лечении гингивита, стоматита, пародонтоза, запущенных форм кариеса. Его не стоит использовать как замену рекомендованной терапии, однако в комплексе с другими медикаментами средство дает отличный результат. Оно помогает решить следующие задачи:
- лечение болезней мягких тканей с использованием растительных компонентов;
- уменьшение образования зубного камня после еды или в процессе приема медикаментов, способствующих появлению налета;
- повышения тонуса слизистых оболочек;
- борьба с кровоточивостью в полости рта;
- устранение неприятного запаха за счет того, что Лесной бальзам для десен обладает обеззараживающим действием.
В состав включены натуральные компоненты. Они проникают внутрь тканей и пространство между резцами, снимая отложения и убирая бактерии. Использование всего 2 раза в рамках обычной гигиены позволит забыть о проблемах с зубами и мягкими тканями, удалить загрязнения и провести эффективную профилактику стоматологических недугов. Если почитать, что представляет собой Лесной бальзам ополаскиватель специально для десен, отзывы можно увидеть только положительные. Он недорого стоит, но работает не хуже элитных препаратов.
Состав и форма выпуска
Основой средства является триклозан. Этот компонент известен своими обеззараживающими свойствами, что помогает бороться с патогенными микроорганизмами, в том числе, со стрептококками, стафилококками, другими вирусами. Во всех этих случаях стоит использовать Лесной бальзам ополаскиватель именно для десен – состав средства обогащен также и натуральными компонентами. Препарат выпускается в 12 версиях, каждая из которых позволяет решить конкретные задачи и содержит:
- кору дуба, восстанавливающую защитный барьер в ротовой полости, снижая вероятность инфицирования тканей;
- ромашку, снимающую отеки, покраснения, насыщающую слизистые оболочки полезными микроэлементами, известную как отличный антисептик;
- календулу, которая обеспечивает более быстрое затягивание ран и заживление язвочек, часто используется в составе средств, предназначенных для снижения боли при ношении зубных протезов;
- прополис, обеззараживающий поверхности и ускоряющий регенерацию;
- пихту для борьбы с пародонтозом и освежения дыхания.
Кроме того, когда Лесной бальзам применяется для десен, инструкция говорит о том, что в его составе присутствует облепиха и брусника. Их экстракты обеспечивают более быструю регенерацию тканей, создают невидимую защиту на поверхности, предотвращают дальнейшее распространение бактерий. Выбор средства зависит от симптома. Поэтому врач может назначить Лесной бальзам против кровоточивости десен или посоветовать другой тип средства, если нужна только профилактика. Количество компонентов тоже будет отличаться.
В зависимости от формы выпуска различают продукт с более жидкой текстурой и гель. Первый вариант стоит дешевле, но специалисты говорят, что стоит Лесной бальзам гель использовать для десен, поскольку это более действенное решение с пролонгированным эффектом. После нанесения на поверхностях остается тонкая, незаметная пленка, создающая своеобразный барьер для патогенной микрофлоры. Это особенно важно при наличии ранок и микроскопических порезах. Стандартный Лесной бальзам ополаскиватель применяется для десен больше как профилактическая мера.
Выбор определенного типа средства также зависит от времени, которое пациент готов уделить терапии. Например, часто люди, у которых не получается полоскать рот в течение дня, но хочется продолжать лечение заболеваний ротовой полости, выбирают Лесной бальзам гель при кровоточивости десен, поскольку данное средство быстрее впитывается, продолжая действовать несколько часов после использования. Обычная версия смывается практически сразу после приема пищи или любого напитки, и полоскать рот требуется снова.
К слову, производитель говорит, что наличие небольшого осадка – вариант нормы. Это относится к тем, кто планирует использовать Лесной бальзам ополаскиватель десен, зубов в жидком виде. Продукт производится с различными оттенками от нежно-розового до темно-зеленого – все зависит от того, какие компоненты преобладают в составе. На вкус средство приятное, а после применения во рту ощущается небольшой холодок.
Лечение и противопоказания
Если вы планируете Лесной бальзам ополаскиватель использовать для десен, инструкция поможет сориентироваться в дозировке. Обычно средством наполняют колпачок, которым закрывают бутылочку. Процедуру проводят после чистки зубов. Также можно воспользоваться нитью, чтобы убрать остатки пищи между резцами. Составом необходимо полоскать рот около 30-40 секунд. Чтобы Лесной бальзам укрепление десен осуществил по максимуму, после его использования лучше не есть в течение 1-2 часов.
Гель впитывается быстрее, а жидкий вариант распределяется по поверхностям, но смывается слюной, а потому, процедуру лучше повторять до 5-6 раз в день. В этом плане гель намного удобнее – когда врачи Лесной бальзам назначают для чувствительных зубов пациента и десен, то указывают, что в форме геля средство можно наносить 1 раз в сутки. Противопоказаний практически нет – исключение составляют случаи аллергии на хвойные экстракты. Также при беременности лучше сначала посоветоваться с врачом, который Лесной бальзам заменит для десен – отзывы говорят о том, что лучше не рисковать здоровьем малыша.
Вскоре пациент заметит, что ткани укрепились, а при чистке зубов не выделяется кровь. Полоскания помогут защититься от многих стоматологических заболеваний, сократив затраты на лечение. Если рассматривать Лесной бальзам ополаскиватель, гель для десен, инструкция, цена вполне понятны и приемлемы, чем дорогостоящее посещение врача. Помните, что даже при наличии такого средства в аптечке стоит 1-2 раза в год проводить осмотр ротовой полости и снимать зубной налет. Специалисты говорят, что только тогда Лесной бальзам укрепление зубов пациента и десен осуществит без проблем!















У меня всегда была эта проблема, я постараюсь с этим решением, которое вы предлагаете, я думаю, что эта проблема помощи отличная, поскольку есть много людей, которым не стыдно говорить об этих проблемах в наших деснах,