Асепта гель – незаменимый помощник при заболеваниях десен. Даже у человека, который тщательно следит за полостью рта, могут появиться ранки, гнойники и другие образования, вызывающие боли, угрожающие здоровью зубов. Безусловно, своевременное обращение к специалисту – лучший выход из ситуации. Однако в комплексе с уже назначенной терапией всегда можно использовать еще одно действенное средство, которое точно ускорит процесс лечения.
Особенности и преимущества
Асепта гель для десен разработан отечественными фармацевтами и применяется с целью лечения заболеваний в стоматологической сфере. В состав средства входит прополис, известный своими регенерационными свойствами. Также он убивает микробы, снимает болевые ощущения, зуд, раздражение, выполняя функции естественного анальгетика. Благодаря прополису и другим полезным компонентам в составе Асепта гель отличается следующими преимуществами:
Легкая текстура позволяет быстро, практически безболезненно нанести средство на пораженный участок. Препарат впитывается за минуты, остается действовать на слизистых оболочках длительное время. Удобно использовать его при точечной обработке поверхностей. В комплект входит аппликатор, облегчающий процесс использования.
Согласно исследованиям по вопросам того, насколько хорошо Асепта гель работает для десен, применение данного средства на 31% уменьшает воспалительный процесс, чем если проводить лечение без его использования.
Препарат сочетается с другими медикаментами, а также является основой для производства лечебных паст, ополаскивателей, бальзамов. Его можно применять для регулярной профилактики заболеваний ротовой полости. Несмотря на то, что при продаже без рецепта Асепта гель назначается для десен, инструкция указывает по применению необходимость проконсультироваться с врачом перед началом приема.
Формы выпуска и показания
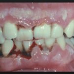
Основная линейка представлена тремя вариантами средства, каждый из которых отличается особенностями действия и рецептурой. Первый вид – антимикробный Асепта гель для десен, обогащенный не только прополисом, но также магнием, кальцием, витаминами Р, В, С. Использование данного средства обеспечивает более быстрое заживление ранок. Помогает достичь результата при лечении гингивита, пародонтита, стоматита.
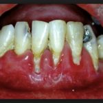
Асепта адгезивный гель используется для десен не менее часто. Он особенно хорошо работает при острых формах заболеваний за счет антибактериального и обезболивающего эффекта. После нанесения на поверхности остается небольшая пленка, которая защищает мягкие ткани от агрессивных внешних факторов, а также продлевает действие препарата. На местах нагноения это помогает избежать некротических поражений.
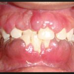
Асепта гель защитный для десен вместе с прополисом назначают при большом количестве болезненных высыпаний на слизистых, а также во время эрозии. Особенно актуально его использование, если пациент испытывает сложности с жеванием или в процессе разговора ощущает сильную боль. Его действие настолько мощное и продолжительное, что даже после установки систем в челюсти или при протезировании его назначают пациенту для скорейшего восстановления. Также допустимо сочетать все три варианта под контролем врача.
Что касается болезней, при которых Асепта гель применяется для десен, инструкция содержит основной перечень проблем, среди которых значатся стоматологические заболевания: кариес, гингивит, стоматит, пародонтоз. Особенно хорошо помогает препарат при обострениях. Он снимает отеки, устраняет жжение. Его можно применять пациентам, которые носят брекеты и зубные протезы. Швы, оставшиеся после операций на ротовой полости, можно обрабатывать используя адгезивным гелем Асепта специально для десен – инструкция это разрешает делать для скорейшего заживления ранок.
Многие спрашивают, можно ли использовать данный препарат для купирования болевых ощущений у маленьких детей. Лучше всего узнать об этом у врача, чтобы исключить возможные противопоказания. Хотя очень часто Асепта гель назначается для десен детям. Он безопасен для организма ребенка, на него практически никогда не возникает аллергии. Часто врачи назначают препарат для снятия боли при прорезывании молочных зубов.
По аналогии его можно применять взрослым пациентам при прорезывании зубов мудрости, которые тоже доставляют неприятные ощущения. Также если почитать про Асепта гель адгезивный для десен отзывы, многие пишут, что использование средства делает шрамы и рубцы на слизистых оболочках менее заметными. Именно поэтому данный препарат настолько универсален, что точно должен быть в аптечке у каждого человека.
Правила использования
Врачи рекомендуют сначала удалить зубной камень, под которым часто скрывается источник инфекции. После этого Асепта бальзам зубной или гель специально для десен может применяться в качестве мази или для компрессов. Сначала необходимо прополоскать рот водой или почистить зубы, если это позволяет состояние ротовой полости, и сильной боли нет. Далее можно взять ватную палочку или просто вымыть руки, чтобы нанести Асепта, средство с прополисом, гель специально для десен, который практически сразу впитается в слизистые оболочки.
Если боли слишком сильные, что мешает прикасаться к поверхности, можно делать аппликации. Для этого берут кусочки бинта и пропитывают их средством. Пораженные участки обкладывают такими компрессами на 30 минут. После этого желательно пару часов не принимать пищу. Пациенты, использовавшие гель адгезивный для десен Асепта специально с прополисом, отзывы оставляют самые положительные, рассказывая о том, что препарат после нанесения оставляет маленькую пленку, которая не вызывает дискомфорт и позволяет средству работать.
При беременности женщины часто сталкиваются с проблемами в полости рта, что обусловлено низким иммунитетом. Исправить это поможет Асепта гель специально для десен – инструкция, отзывы говорят о том, что средство можно использовать даже в этот период при отсутствии противопоказаний и запретов со стороны врача. Лучше всего оно работает ночью. Однако препарат может не подойти людям с аллергией на продукты пчеловодства. В этом случае доктор назначит аналог Асепта гель специально для десен, чтобы лечение было эффективным.
Помните, что проверка состояния зубов 1-2 раза в год позволит не тратить деньги и время на лечение. В этом случае всегда можно будет увидеть проблему, устранить ее в кратчайшие сроки. Также хорошо, если в вашей аптечке будет Асепта вместе с прополисом – гель специально для десен, инструкция к которому допускает применение средства в качестве эффективной защиты ротовой полости от инфекций. Заботьтесь о себе и будьте здоровы!















