Практически каждый человек сталкивается с поражением слизистых оболочек вне зависимости от генетики и образа жизни – от этих проблем сложно застраховаться полностью. Однако разнообразие методов лечения позволяет быстро подобрать терапевтический курс для успешного выздоровления. Асепта бальзам для десен применяется при заболеваниях ротовой полости в качестве противомикробного препарата для борьбы с микроорганизмами. С его помощью можно быстро устранить инфекцию, вернув пациенту идеальную улыбку и отличное самочувствие.
Состав и полезные свойства
Бальзам для десен Асепта включает Хлоргексидин – известный антисептик, который борется с грибками, палочками, бациллами. Небольшая концентрация (около 0,1%) позволяет использовать препарат практически без ограничений, с минимальными противопоказаниями, в числе которых значится только аллергическая реакция на фоне индивидуальных особенностей организма. Второй важный компонент – Метронидазол, проявляющий активность в борьбе с микробами, нарушающими структуру пародонта. Также он отлично подходит для подавления деятельности других опасных бактерий.
Это далеко не весь список компонентов, благодаря которым для успешного лечения Асепта адгезивный бальзам используется для десен – инструкция содержит информацию о содержании в составе препарата пектина и веществ, фиксирующих препарат на слизистых оболочках. Это обеспечивает более пролонгированное воздействие, высокую эффективность лечения. После нанесения средства на поверхности образуется тонкая пленка примерно на 40-50 минут. Она не только улучшает действие препарата, но также создает защитный барьер, не пропуская другие бактерии извне.
Бальзам для десен Асепта применяется для лечения широкого спектра заболеваний ротовой полости: гингивита, грибков, стоматита, пародонтита. Также врачи часто назначают его для восстановления слизистых покровов после перенесенной травмы, так как требуется быстро залечить трещины, царапины, которые могут стать воротами для инфекции. Справиться с гнилостным запахом изо рта тоже поможет Асепта бальзам специально для десен – отзывы свидетельствуют, что средство освежает дыхание, помогая вести привычный образ жизни даже в процессе лечения основного недуга. Также препарат:
- нормализует состояние микрофлоры в полости рта;
- убивает патогенные микроорганизмы, приводящие к развитию заболеваний;
- помогает блокировать кровотечения при пародонтозе, гингивите;
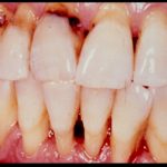
- устраняет отеки, убирает покраснения со слизистых оболочек;
- усиливает эффективность действия других препаратов6 используемых в рамках основного курса;
- частично снимает болевые ощущения, которые наблюдаются при воспалительных процессах.
Бальзам Асепта при беременности использовать разрешено, поскольку концентрация основных компонентов в нем низкая, а состав не содержит веществ, которые могли бы быть опасными для плода и матери. Однако перед применением средства рекомендуется посоветоваться с врачом. Особенно если женщина параллельно принимает другие лекарства. Точно так же стоит поступить пациентам с хроническими заболеваниями. Прежде чем применять Асепта бальзам для десен, следует убедиться в отсутствии противопоказаний.
Применение
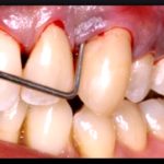
Средняя продолжительность курса составляет 14-20 дней в зависимости от степени тяжести заболевания. Препарат наносят на пораженные области чистыми пальцами или при помощи ватной палочки. При сильных болях, усложняющих прикосновение к слизистым оболочкам, можно Асепта адгезивный бальзам использовать для десен в качестве аппликаций. Для этого средством пропитывают кусочки бинта, обкладывают ими больное место на 30-40 минут. После любой процедуры с использованием бальзама лучше не есть, а также не употреблять напитки в течение 1-2 часов.
Обычно Асепта бальзам использовать для десен инструкция рекомендует 1-3 раза в день. Благодаря тому, что препарат отлично впитывается из-за легкой текстуры и наличия веществ с высокой степенью абсорбции, его не нужно применять часто. Из-за этого бальзам подходит для занятых людей, которые планируют заниматься лечением, но не могут менять привычный образ жизни. Врачи только советуют использовать Асепта бальзам д/десен после удаления зубного камня, так как именно он накапливает бактерии, травмирует эмаль, вызывает многие болезни.
Перед применением средства рекомендуется тщательно высушить слизистые оболочки при помощи ватного диска или марли – им можно просто протереть участки. Несмотря на то, что бальзам Асепта при беременности и в других случаях разрешен, стоит прекратить его использование, если наблюдается жжение, металлический привкус во рту. Можно обратиться к врачу, который порекомендует пациенту действенные аналоги: Фитолир, Нефрадоз, Сарсакапс и другие средства. Он же подскажет, где купить адгезивный Асепта бальзам специально для десен – препарат доступен в аптеках без рецепта.
Профилактика болезней ротовой полости
Можно дополнительно использовать ополаскиватель, который отлично подойдет для лечения, профилактики болезней стоматологического характера. Ими можно полоскать рот после приемов пищи или перед использованием бальзама. Процедуру проводят не более 3-4 раз в день. Обычно Асепта бальзам-ополаскиватель используется для десен при болях, отеках, ранках на слизистых оболочках. Он устраняет неприятные ощущения, обеззараживает ротовую полость. В его состав часто входит прополис, благодаря которому обеспечивается более быстрая регенерация тканей.
Сегодня в зависимости от производителя, выпускающего Асепта бальзам лечебный для десен, состав может отличаться. Туда входят экстракты лекарственных трав, масла, другие компоненты, позволяющие быстрее бороться с заболеваниями. Можно также выбрать гель с более легкой текстурой, которая подойдет при сильных поражениях, когда пациенту сложно дотрагиваться до тканей. Что лучше – Асепта бальзам, ополаскиватель или гель специально для десен – решит лечащий врач, который назначит препарат в зависимости от диагноза. Он также может посоветовать комплексное лечение.
Обычно специалисты не против сочетания данных средств с домашними методами лечения. Однако последними не стоит заменять антибиотики или назначенный терапевтический курс, поскольку обычно с инфекцией сложно бороться одними травами и полосканиями. С народными средствами можно использовать Асепта бальзам специально для десен – инструкция указывает по применению на отсутствие ограничений. Средство легко воспринимается организмом практически во всех случаях. Для детей, у которых режутся зубы, лучше использовать гелевый вариант.
Для профилактики заболеваний ротовой полости даже при отсутствии диагноза отлично подойдет Асепта бальзам специально для десен адгезивный – отзывы о нем только положительные. Доказано, что регулярное применение уменьшает риск развития инфекционных заболеваний ротовой полости, позволяет снизить вероятность поражения зубов и мягких тканей. Уже многие люди убедились в его действии. Вы тоже можете попробовать Асепта бальзам использовать для десен – отзывы, инструкция и другая полезная информация всегда доступна в интернете. Сегодня лечить болезни стало проще.












