Любые патологические изменения ротовой полости необходимо своевременно диагностировать и лечить. Игнорирование проблем с костной тканью челюстного аппарата способно привести к тяжелым осложнениям. Одной из распространенных проблем стоматологической практики является жалоба пациента на то, что неожиданно оголилась шейка зуба. Оптимальное лечение предполагает понимание причин и симптомов, вызывающих патологию.
Симптомы патологии
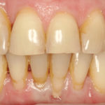
Оголение шеек зубов можно описать пониженным уровнем десенной ткани по отношению к молярным (зубным) коронкам. Здоровая ротовая полость характеризуется ровными поверхностями десен с оптимальной выглядывающей из них костной тканью. Патологический процесс, происходящий во рту, делает доступным для визуального просмотра утонченную часть резцов, называемую шейкой.
Выделяется несколько симптомов, по которым можно определить, что зубная шейка оголена:
- болевые ощущения всей поверхности челюсти при попадании в ротовую полость слишком горячих, холодных, острых, кислых напитков, вдыхании воздуха при пониженной, повышенной температуре окружающей среды;
- наличие кровяных выделений при чистке зубов, откусывании твердых продуктов;
- визуальное изменение цветового фона зуба, появляющегося в результате повышенной контрастности эмали коронки и шейки резца;
- присутствует припухлость десенной ткани, заметны очаги воспаления;
- при тактильном осмотре чувствуется неровность десны;
- прикорневая система костной ткани характеризуется развитием кариеса;
- наблюдается визуальное удлинение пораженного зуба;
- воспалительный процесс провоцирует образование карманов в мягких тканях со скоплением гнойных масс;
- присутствует гнилостный запах изо рта;
- некоторые резцы расшатываются, ослабевают, выпадают.
[info title=””]Стоит заметить, что если оголилась шейка зуба, в скором времени патологический процесс начнет распространяться на другие зубы, охватывая все большую площадь.[/info]
Возможные причины патологии
Наиболее распространенными факторами атрофии десенной ткани являются:
- неграмотное соблюдение гигиены полости рта, в результате чего развиваются такие заболевания, как пародонтит, гингивит;
- чрезмерно тщательное проведение процедур очистки твердой зубной щеткой, поражение мягких тканей зубочистками;
- нарушение целостности слизистой оболочки ротовой полости (пирсинг, использование десенных стимуляторов);
- голая шейка зубов может наблюдаться из-за анатомического строения костной ткани, в результате чего происходит медленная деформация десны, ее смещение;
- ношение брекетов для восстановления нормального прикуса создает повышенное силовое воздействие на челюсть, что провоцирует развитие патологии;
- неустойчивость протезной конструкции, вызывающая шатание зубов;
- гормональный сбой в организме, возникающий в результате нарушения работы эндокринной системы, переходного возраста, беременности.
В зависимости от факторов, повлиявших на развитие патологического процесса, наличие подобной проблемы может привести к возникновению серьезных осложнений. На оголенном участке можно заметить образование желтого цвета. Это естественный налет, предохраняющий шейку моляра, корневую систему от повреждений. Дискомфорт при деформации мягких тканей появляется из-за повышенной чувствительности поврежденной костной ткани. Поэтому при обнаружении подобной неприятности желательно незамедлительно обратиться за квалифицированной помощью.
Методы лечения
Голая шейка зубов подразумевает несколько вариантов лечения. На начальных стадиях заболевания стоматолог может порекомендовать такие мероприятия, как замена обычной зубной пасты на специализированную, обновление зубной щетки. Также рекомендуется тщательное проведение процедуры очистки ротовой полости от налета.
К медикаментозным методам лечения относятся:
- использование специальных растворов для полоскания ротовой полости (Хлоргексидин, Фурацилин, Мирамистин, Мараславин). Если присутствует нагноение мягких, твердых тканей, врачом назначается прием антибиотических препаратов (назначение проводится индивидуально в зависимости от состояния пациента, степени поражения);
- нанесение специального реанимирующего компонента на обе челюсти;
- процедура по фторированию естественного покрытия коронки;
- установка пломбировочного материала на пораженные участки костной ткани;
- процедуры по удалению кристаллических отложений на зубной эмали;
- установление зубного протеза, тонкой керамической пластины на коронку.
При сильном дискомфорте, вызванным оголением шейки зуба применяются хирургические методы лечения:
- пластическая операция по восстановлению десенной ткани с использованием натяжения слизистой оболочки ротовой полости;
- удаление моляра с последующей установкой на его место имплантата.
Хирургическое вмешательство является довольно дорогим методом лечения оголенного участка костной ткани, сопровождающегося немалым дискомфортом. Поэтому при обнаружении начальной стадии патологии желательно сразу обратиться к стоматологу. Своевременное проведение лечения позволит избежать подобных действий, поскольку начальные стадии заболевания могут быть пролечены применением специальных лекарственных препаратов, направленных на устранение воспаления.














