Воспаленная десна приносит множество неудобств. Если припухлость, покраснение тканей появляется около передних зубов, человек начинает комплексовать по поводу улыбки. Также вне зависимости от расположения, поврежденный участок мешает нормально говорить, есть, вызывает проблемы со сном. Лечение воспаленных десен нужно доверить профессионалу. Грамотный стоматолог поставит точный диагноз, а также предложит методики, позволяющие быстрее вернуться к привычному образу жизни без боли.
Почему воспаляются десна?
Врачи неспроста говорят, что рот – одно из самых загрязненных мест в человеческом теле. Там обитают тысячи бактерий, которые при нормальных условиях не представляют опасности. Но стоит лишь поранить мягкие области, как в ранки попадает инфекция, вызывая различные патологии. Если не решить, чем лечить воспаленные десна, болезнь продолжит развиваться, затрагивая зубы. У пациента, пренебрегающего лечением, есть все шансы потратить деньги на протезы или импланты. Чтобы этого не допустить, важно не только понимать причины проблемы, но и регулярно проходить осмотр у доктора.
Первая причина, по которой появляются красные воспаленные десны – несоблюдение гигиены либо неправильный уход. Многие люди предпочитают жесткие щетки, надеясь, что они помогут снять весь налет и сработают лучше, чем аналогичные товары с более слабыми свойствами. На практике получается, что слишком усердная чистка травмирует чувствительные зоны. То же самое происходит при частом использовании отбеливающих паст. Грубые абразивные частицы буквально снимают слой за слоем, что делает слизистые оболочки открытыми для бактерий.
Когда человек неумело орудует зубочисткой, одним неверным движением он может поранить мягкую область. Еще хуже, когда воспалена десна зуба из-за того, что в ней остался микроскопический кусочек зубочистки. Если его не удалить, начнется нагноение. Аналогичные проблемы возникают при любых механических травмах, когда человек сильно ударяется, задев полость рта. Среди других причин:
- гормональные нарушения, вызывающие слабость мягких областей;
- патологии в работе внутренних органов;
- ношение брекет-систем или протезов;
- некачественная работа дантиста;
- использование для пломбирования или протезирования материалов с аллергенными свойствами;
- стоматологические заболевания (кариес, пародонтит, гингивит)
- беременность;
- недостаток витаминов, низкий иммунитет.
Многие недооценивают важность регулярного удаления зубного камня. Если воспалена десна возле зуба, врачи практически всегда сначала снимают налет. Именно под ним зачастую скрывается истинная причина проблемы. Даже при самой качественной чистке зубов остаются отложения, которые с течением времени твердеют, накапливая бактерии. Затем налет начинает давить на мягкие поверхности, вызывая повреждения. Инфекция проникает через них внутрь, вызывая образование гноя, нарушая нормальное питание тканей, провоцируя болезни зубов.
Другие причины и важность лечения
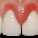
Еще одна причина, по которой воспалилась десна – прорезывание моляров. Если резец только начинает расти, он давит на мягкие области, из-за чего появляются неприятные ощущения. Проблематичное прорезывание приводит к воспалению, отеку. Врачи обычно говорят, что таким проблемным восьмеркам нужно помогать выходить наружу. Когда у пациента воспалены десны, температура поднялась до 38 градусов, стоит просто сделать небольшой разрез в тканях, чтобы резец смог расти, не доставляя неудобств. Это простая процедура, которую выполняют в любой клинике.
Часто дети жалуются на боли во время прорезывания зубов. Доктора заверяют, что это обычное явление. Дискомфорт обычно быстро проходит. Но для собственного спокойствия родители могут показать малыша специалисту. Это совершенно точно нужно сделать не только детям, но также взрослым, если воспалилась десна, и это состояние сопровождается следующими состояниями:
- поднялась высокая температура;
- набухание или покраснение мягких тканей;
- сложности с приемом пищи, разговором, бессонница из-за болей;
- появление высыпаний на слизистых оболочках;
- неприятный привкус или запах изо рта (это значит, что воспалилась десна с гноем);
- выделение крови даже при малейшем прикосновении к поврежденному участку.
Очень опасно, когда болезнь сопровождается гнойным процессом. Если уплотнение лопнет, его содержимое попадет в организм, вызвав патологии в работе различных органов. Чаще всего страдает печень, желудок, кишечник. У пациента могут появиться хронические недуги, требующие серьезного лечения. Поэтому стоит не только думать, как и чем лечить воспаленные десна самостоятельно в домашних условиях, а сначала пройти осмотр у врача, который определит причину проблемы, разработает эффективный терапевтический курс, который точно подействует.
Основы лечения
Стоматолог ставит диагноз, учитывая жалобы пациента, а также результаты рентгена, осмотра, анализов. Если требуется устранить инфекцию, назначаются антибиотики. Прием их прекращается, когда воспаленная десна приходит в норму. Многие пациенты отказываются от таких медикаментов, тогда как их прием позволяет быстро справиться с патологическими процессами. В комплексе всегда назначаются пробиотики, восстанавливающие естественную микрофлору, поэтому бояться мощных препаратов не стоит.
Если воспалилась десна под коронкой, самостоятельно с проблемой не справиться. Коронку необходимо снимать, выполнять тщательную чистку каналов. После этого ставится временная пломба, чтобы отследить динамику восстановления. Все это время пациент выполняет рекомендации врача – специалист обязательно скажет, как и чем полоскать воспаленную десну. Обычно для этого подходит Мирамистин, Хлоргексидин. Полезно использовать аппликации на основе мази с прополисом. Они успокоят раздраженные участки, ускорят заживление. После этого можно будет ставить постоянную пломбу.
Ноющая боль часто указывает на то, что воспалилась десна под зубом. Это происходит как следствие пульпита, либо около верхушки корня сформировалась киста. Стоматолог отправляет пациента на рентген, после чего смотрит результаты, принимая решение относительно лечения или удаления пострадавшего резца. Если у человека воспаленная десна, запах гноя отчетливо ощущается, скорее всего, разрушительные процессы уже достаточно сильные.
Отдельно стоит сказать о проблемах, с которыми сталкиваются люди, использующие вставные челюсти или брекет-системы. Им на первых порах точно не избежать боли. Воспаленные десны бывают у взрослого, когда его слизистые оболочки очень чувствительные. Конструкции натирают эти участки, вызывая раздражение. Врачи говорят, что это вариант нормы – примерно через 1-2 недели состояние стабилизируется. Но если улучшений нет, а у человека по-прежнему воспалены десна сильно, что делать, подскажет дантист. Он либо заменит конструкции, либо откорректирует их.
Если диагностирован гингивит, стоматит, пародонтит, необходимо устранить заболевания, после чего мягкие ткани заживут. При сложном прорезывании моляров часто осуществляют удаление воспаленной десны. Это простая, практически безболезненная процедура, которая поможет устранить дискомфорт. Дальше понадобится только соблюдать рекомендации врача. Обычно советуют отказаться от курения, алкоголя, жесткой пищи. Если воспалилась десна под зубом, часто назначают витаминные комплексы для повышения иммунитета.
Несмотря на то, что доктора обычно настаивают на осмотре и разработке индивидуального терапевтического курса, они не против народных методик. Всегда можно посоветоваться о том, как и чем полоскать воспаленные десна пациенту в домашних условиях. Главное, чтобы они не стали заменой основному лечению, а использовались как дополнение более эффективным лекарствам. Важно понимать, что 1-2 осмотра в год позволят выявить многие заболевания на ранней стадии. Поэтому не стоит ждать, чтобы воспалилась десна под коронкой – регулярный визит к врачу поможет избежать боли.















Очень полезная статья, в ней указаны причины, данного заболевания.
Следить за здоровьем полости рта, действительно очень полезно! Я полностью согласен с тем, что там написано!