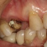
Провал в десне – это звучит страшно. На практике выясняется, что избавиться от этой проблемы вполне реально. Особенно если не пытаться лечиться самостоятельно отварами, полосканиями, компрессами, а сразу посетить грамотного стоматолога. За таким симптомом может скрываться заболевание ротовой полости или травма, а также другие недуги, выявить которые важно для назначения правильного терапевтического курса. Современные методики и действенные препараты помогут как можно быстрее вернуться к прежнему образу жизни и устранить провал десны.
Основные причины
Одна из главных причин опущения мягких тканей – специфические особенности альвеолы. У каждого человека внутри челюстной кости есть углубление, где расположены корни зубов. Эта генетическая особенности может приводить к тому, что образуется провал десны у зуба. Мягкие ткани могут опуститься на всем ряде или частично около определенных резцов. Чаще всего такое заболевание возникает у пожилых людей, поскольку их слизистые оболочки теряют эластичность. Но неправильный образ жизни, низкий иммунитет тоже играет роль в том, что образуется провал у зуба.
Заметить проблему можно намного раньше, чем она даст о себе знать. Так, во время гигиены ротовой полости можно увидеть, что около некоторых зубов ткани начали немного провисать. Или наоборот, может обнажиться шейка резца. Ясно одно: с мягкими поверхностями что-то происходит. Одновременно человек ощущает дискомфорт, внезапно возникающий после приема холодной или горячей пищи. Уже сейчас важно быстрее обратиться к врачу, чтобы узнать, почему проваливается десна, и что с этим делать. Доктор может найти причину в следующем:
- особенности строения челюсти;
- проблемы с прикусом;
- занесение инфекции при лечении;
- хронические воспалительные процессы;
- плохая гигиена;
- травма;
- гормональный дисбаланс;
- снижение тонуса мягких тканей из-за того, что пациент употребляет только мягкую пищу;
- пародонтоз в запущенной стадии.
Провал в десне – это еще и косметическая проблема, ведь человек не может нормально улыбаться, испытывая боль или стеснение из-за того, что выглядит плохо. К тому же, провисание тканей ухудшает состояние зубов. Чтобы не потерять резец, важно вовремя проконсультироваться со стоматологом, который подберет действенное лечение. Народные способы тоже можно применять, но только в комплексе с основной терапией.
Лечение провала в десне
Если провалилась десна, врач всегда сначала удаляет зубной камень, когда это необходимо. Дело в том, что даже при регулярной гигиене остаются зоны, которые человек очищает ненадлежащим образом. Со временем там скапливается грязь, налет. Последний накапливает частички пищи, бактерии. Со временем он твердеет, образуя зубной камень, давящий на корни зубов. Образуются микропорезы, через которые попадает инфекция. Поэтому мягкие области могут воспалиться.
На ранних этапах недуга обычно практикуется медикаментозное лечение. Если десны провалились, стоматолог назначает медикаменты, обеспечивающие запуск процесса регенерации. Часто они содержат в своем составе коллаген, буквально наполняющий пораженную область, вследствие чего к ней возвращается тонус. Также существуют методики, предполагающие образование твердой структуры около корней. Это позволяет снизить вероятность проникновения опасной микрофлоры, обеспечивает заживление тканей, если зуб провалился именно в десну из-за воспаления.
В запущенных случаях поможет только хирургическое лечение. Оно проводится под анестезией, поэтому пациенту нечего бояться. Поврежденные участки вскрываются, после чего врач поднимает ее до нужного уровня. Таким образом получается ликвидировать провал десны. Реабилитационный период после операции достаточно короткий. Врач обычно назначает антибиотики, чтобы бороться с инфекцией, либо антисептики, которые предотвратят попадание новых микроорганизмов внутрь. Для более быстрого восстановления важно:
- отказаться от алкоголя, курения;
- избегать слишком жесткой или твердой пищи (морковь, сухарики);
- не пользоваться жесткими щетками и отбеливающими пастами, поскольку их абразивные частицы вызовут порезы;
- исключить зубочистки, которые тоже могут травмировать место воздействия;
- при малейшем недомогании (высокая температура, боль, отечность) сразу обращаться к врачу, чтобы избежать инфицирования тканей.
Если десны провалились, очень важно не пытаться поднять их самостоятельно или игнорировать проблему. Чем раньше вы обратитесь к врачу, тем быстрее получиться восстановиться. Помните, что проблемы со слизистыми оболочками отражаются на состоянии зубов, которые поражаются кариесом и микробами. Чтобы избежать протезирования, займитесь своим здоровьем уже сейчас!














