Если пациент замечает, что у него вдруг поднялась десна, у него может даже не возникнуть мысли о том, что это признак имеющегося заболевания ротовой полости. Многие люди считают такую проблему косметическим дефектом, связывая его с травмой или недостатком витаминов. Эти причины тоже влияют на изменения в мягких тканях, но все же консультация специалиста необходима, ведь важно своевременно выявить недуг, чтобы начать лечение как можно скорее. Тем более, если проблема не косметическая. Современная пародонтология – лечение, доступное каждому пациенту. Новейшие технологии, качественное оборудование – все это позволит вернуть красоту улыбки и избавиться от болезней.
Причины проблемы
Самой распространенной причиной того, что у человека поднимается десна над зубом, является травма. Часто такая неприятность происходит с детьми, которые во время игр могут удариться, задев слизистые оболочки. Обычно при нормальном иммунитете ткани заживают примерно за 1-2 дня. Важно только следить, чтобы в ранку не попала инфекция. Если десна поднялась над зубом, необходимо аккуратно орудовать зубной щеткой. Полностью отказываться от чистки не стоит, потому что важно обеспечить чистоту ротовой полости, пока внутри есть незажившие повреждения.
Но слишком усердная гигиена ротовой полости тоже может сыграть с человеком злую шутку. Например, многие люди (особенно мужчины) увлекаются чересчур жесткими щетками, а также часто пользуется отбеливающими пастами с грубыми абразивными частицами, это приводит к появлению микроскопических порезов и изменению структуры мягких поверхностей. В результате человек видит, что десны поднялись вверх. Формируются отеки, которые болят, мешают вести привычный образ жизни.
Также прорезывание моляров часто предполагает появление карманов или уплотнения из мягких тканей. Если это происходит, всегда можно обратиться к врачу, который проведет процедуру по иссечению поднявшихся областей. Это освободит восьмерки, позволяя им прорезаться без боли. Поэтому если поднялась десна на месте зуба мудрости, не стоит терпеть дискомфорт – эту проблему всегда можно решить в стоматологии.
Пародонтоз – что делать, когда мягкие ткани обнажают зубы?
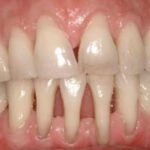
В норме мягкие ткани плотно обхватывают зубы и остаются на своем месте даже при механическом воздействии (например, во время жевания). Если поднялась десна над передним зубом, это превращается не только нарушает эстетику улыбки, но также является предвестником пародонтоза. Именно при этом заболевании начинают двигаться мягкие ткани. Причин, по которым оно возникает, очень много: генетика, неправильный образ жизни, запущенные стоматологические недуги, неправильный прикус. При поражении пародонта зубы становятся настолько подвижными, что могут выпасть.
Недуг развивается постепенно, поэтому человек часто бьет тревогу не сразу. Известны случаи, когда болезнь медленно прогрессировала в течение 10 лет. К этому моменту обычно поражен уже весь зубной ряд или обе челюсти. Это одна из причин, почему поднимаются десны. Стоматологи говорят, что осмотр хотя бы 1-2 раза в год позволяет вовремя выявить пародонтоз, назначить эффективное лечение. Но, к сожалению, немногие люди озадачиваются регулярными походами в клинику. Чаще они обращаются, увидев следующие признаки:
- поднялась десна над передним зубом, приобрела красный либо темный оттенок;
- повышение температуры как признак воспаления;
- появление ноющих болей, которые особенно усиливаются по ночам;
- неприятный привкус во рту или специфический запах гноя;
- кровоточивость мягких тканей (на запущенных этапах кровь выделяется даже без прикосновения к пораженным областям).
Также если поднимается десна над зубом, у пациента может пропасть аппетит, потому что пережевывать пищу очень больно. Люди жалуются на дискомфорт при разговоре, становятся вялыми, раздражительными, ведь пародонтоз не дает возможности нормально отдохнуть. Боль является признаком того, что заболевание прогрессирует. Уже на этом этапе возможна потеря зубов. Чтобы избежать протезирования, важно не пытаться думать, если поднялась десна, как опустить ее, а заручиться поддержкой профессионального доктора, который подберет наиболее эффективный терапевтический курс.
Основы лечения
Если поднимаются десны сильно, что делать, стоматолог решает, учитывая симптоматику и результаты осмотра. Часто назначают рентген, а также производят снятие зубного камня. За ним может скрываться причина заболевания и инфекция, которая активно размножается в остатках пищи, не удаленных из ротовой полости. Если причиной является прорезывание зуба мудрости, мягкие ткани просто разрезают, позволяя моляру выйти наружу. Реабилитационный период в данном случае короткий. Дома пациенту нужно лишь соблюдать гигиену, использовать мази, растворы для полоскания.
Если поднялась десна над коронкой из-за того, что на мягких тканях возник отек, занимаются выявлением основной причины проблемы. Это может быть пульпит, гингивит, пародонтит либо другое заболевание, на основе которого развивается обширное воспаление. Слизистые оболочки наполняются гноем, который нужно убрать. Часто, если поднялась десна, как опустить ее, человек начинает придумывать самостоятельно. Очень опасно пытаться своими силами вскрыть образование с гноем – это должен делать специалист.
Как правило, врач прочищает полость, прописывает антисептические растворы для полоскания. Если причиной болезни стала инфекция, параллельно назначаются антибиотики. Народные методы тоже допустимо, но только вместе с основной терапией, а не как ее замена. Полезно делать компрессы на основе мазей (например, с прополисом), которые ускорят заживление, снимут боль. Период восстановления занимает около 2-5 дней.
Профилактика проблемы
От проблем с мягкими тканями никто не застрахован. Если поднялась десна над зубом, то что делать, задумываются даже люди, которые регулярно следят за полостью рта. Соблюдение простых правил поможет значительно снизить вероятность появления припухлостей и других тревожных симптомов. Стоит правильно подбирать зубную щетку, не использовать слишком жесткую щетину при чувствительности слизистых оболочек. Отбеливающие пасты рекомендуется применять не чаще 1-2 раз в неделю, чтобы абразивные частицы не поранили мягкие зоны.
Также стоит по возможности исключить курение, потому что табачный дым меняет естественную микрофлору в ротовой полости. Слизистые оболочки становятся более сухими, подверженными травмам, медленнее заживают. То же самое касается жесткой, твердой пищи: сухариков, орешков. Такая еда может серьезно поранить десну, а внутрь проникнет инфекция, вызвав накопление гноя.
Рекомендуется посещать врача не реже 1-2 раза в год, чтобы убирать зубной камень, следить за состоянием ротовой полости. Важно помнить: если поднялась десна, как опустить ее, должен решить врач. Обращение к профессионалу на начальных стадиях заболевания позволит быстрее справиться с недугом, вернувшись к прежнему образу жизни и избежав протезирования.














