Ученые говорят, что за последние несколько тысячелетий челюсть человека стала уже на 10 сантиметров по сравнению с тем, как она выглядела у первобытных людей. Но количество зубов не изменилось, только теперь им остается все меньше места для нормального расположения. Поэтому, когда лезет зуб мудрости, болит все вокруг. Кажется, соседние резцы смещаются. Так происходит наряду с отеком, температурой и другими неприятными симптомами. Стоит ли их терпеть, либо можно просто пойти и удалить «восьмерки» – все зависит от процесса роста, симптомов.
Причины проблем с молярами
Врачам до сих пор сложно точно определить, под воздействием каких факторов, а также во сколько лет лезут зубы мудрости у человека. Они могут не появиться вообще или прорезываться сразу все вместе. В отличие от коренных собратьев, их появление сопровождается неприятными симптомами. Боли возникают не из-за «восьмерок», а раздражения нервов в мягких основаниях. Моляры часто растут в разные стороны, упираясь в щеки или соседние «семерки», и болят именно они, а не прорезывающиеся их «сородичи». Дискомфорт сильнее ощущается внизу, потому что там кость более плотная.
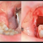
Хорошо, если рост моляров проходит без проблем – такое тоже часто встречается. Но часто, когда лезет зуб мудрости, десна опухает или формируется в капюшон над резцом. Под мягкими тканями скапливается инфекция, и возникает перикоронатит с накоплением гноя. Капюшон разрезают, очищают, часто сразу удаляют резец, потому что в будущем ситуация повторится. Иногда один из моляров давит на лицевой нерв, что вызывает сильные боли, отдающие в голову или ухо, охватывающие часть лица. Это происходит из-за индивидуальных особенностей прорезывания «восьмерок».
Как проявляется процесс?
Когда лезет зуб мудрости, симптомы сложно не заметить. Возникает ноющая боль, которую сложно снять препаратами. В тяжелых случаях возникает отек в пораженной области, а пациент явственно чувствует неприятный запах изо рта. Ему сложно глотать, пережевывать пищу. Бывает, искажается произнесение звуков, а также выделяется кровь из-за того, что мягкие области травмированы. Часто, когда лезут зубы мудрости, температура повышается до 38 градусов, свидетельствуя о воспалительном процессе.
Если под капюшоном уже есть инфекция, боль становится пульсирующей, развивается флюс. В этой ситуации необходима помощь доктора, который произведет иссечение мягких тканей. Это безболезненная, быстрая операция, после которой больной почувствует себя лучше. После этого можно провести полноценный осмотр и решить, стоит ли удалять моляры. Также если лезет зуб мудрости, болит десна рядом и горло тоже першит, как при простуде, для облегчения симптомов прорезывания специалист делает «окошко» в мягких тканях, чтобы «восьмерка» быстрее вышла наружу.
Как облегчить состояние?
Обязателен первичный осмотр, в ходе которого делают рентген, чтобы понять, как расположен резец. Если удаление или иссечение прилегающих тканей пока невозможно, назначают гели, мази с обезболивающим эффектом. Пациенту рекомендуют взять больничный, нормализовать питание, избегая слишком горячей или холодной пищи, а также исключив твердую еду, которая еще больше травмирует ротовую полость. Но проблемное прорезывание – это практически всегда повод для удаления моляров. Выполняют его следующим образом:
- Поскольку, когда лезет зуб мудрости, десна опухает, стоматолог сначала убирает оттуда весь гной и обеззараживает рану. Далее специалист определяет положение моляра. Если он растет вверх, не затрагивает окружающие ткани, а проблема была только в нагноении, рекомендуется больше не проводить манипуляций.
- Если «восьмерки» наклоняются в разные стороны, задевают язык, щеки или десны, доктор выдергивает их щипцами.
- Бывает, что лезет зуб мудрости горизонтально – что делать в этом случае, специалист решает по ситуации. Чаще всего его по частям распиливают при помощи бормашины.
Процесс длится 10-40 минут в зависимости от того, насколько сложно располагается «восьмерка». Все манипуляции проходят под местным обезболиванием. Однако подобные операции противопоказаны беременным женщинам из-за высокой вероятности заражения раны и осложнений. Также стресс, испытанный матерью, отразится на ребенке, даже вызвав преждевременные роды. Поэтому если у беременной лезет зуб мудрости, опухла щека, появились характерные симптомы прорезывания, их блокируют мягкими препаратами либо просто ждут, когда процесс роста завершится.
Женщинам, которые ждут ребенка, и людям, не планирующим пока удалять моляры, можно использовать для облегчения симптомов физиотерапию, медикаменты. Хорошо помогают полоскания рта Хлоргексидином. Также при беременности врач выпишет препараты, безопасные для ребенка. Сколько лезет зуб мудрости у каждого конкретного человека – это сложно сказать. Он может прорезаться за 1 месяц, или процесс растягивается на несколько лет, в течение которых боли появляются, а потом снова проходят.
Показания к удалению
Многие стоматологи рекомендуют сразу избавляться от моляров, потому что за ними трудно ухаживать. Щеткой их практически не достать, в этой отдаленной области скапливается грязь. Сначала портятся моляры, а потом инфекция переходит на «семерки», вызывая кариес или периодонтит. Поскольку эти резцы не принимают участие в жевании, их отсутствие никак не отразится на качестве жизни. Если лезет зуб мудрости так, что постоянно травмирует слизистые оболочки, его лучше удалить, потому что в рану неизбежно попадет инфекция, вызывав заражение.
Поскольку во рту у современного человека стало значительно меньше места, чем у его предков, появление каждого нового резца – испытание для остальных. Моляры смещают «соседей» к центру, вызывая нарушение прикуса, создавая дополнительную нагрузку на челюсти. Когда лезет зуб мудрости, болит десна, это как раз означает, что он давит на «соседей», сдвигает их.
Можно обойтись без удаления, поставив брекеты. Но ортодонты обычно советуют решать проблему радикально, сначала хирургически удалив ненужные резцы, а потом приступить к брекетам. Тем более что сколько лезет зуб мудрости, когда остановится процесс роста, предугадать сложно. После мучений с брекетами часто бывает, что «восьмерки» продолжают расти, снова влияя на рядность.
Еще одна причина для хирургического вмешательства – разрушение «семерок». Если лезет зуб мудрости, болит десна, то боль возникает не от моляра, а из-за его «соседа». Именно в «семерку» он упирается, постоянное давление приводит к разрушению эмали, что провоцирует кариес. Без лечения он переходит в пульпит, периодонтит. Поэтому если лезет зуб мудрости, опухла десна рядом, ощущается сдавливание в области соседних резцов, в будущем это приведет к болезням, избежать которых поможет операция.
Отказ от удаления и вероятные осложнения
Самое опасное – инфицирование тканей. Когда лезет зуб мудрости, он редко бывает идеально прямым и обычно задевает близлежащие ткани. Врачи говорят, что постоянные раны вызывают высокий риск образования сначала доброкачественных, а потом злокачественных опухолей. На этом фоне возникает даже рак десны. Поэтому если лезет зуб мудрости, опухла щека сильно, лучше сразу согласиться на операцию, чтобы предупредить проблемы в будущем.
Некоторые случаи совсем экстремальные, требующие немедленного лечения. Бывает, что «восьмерка» не в состоянии прорезаться из-за того, что ей не хватает места. Такое случается редко, но если именно так лезет зуб мудрости, тогда что делать, решает врач: иссекает капюшон, давая ему выйти наружу, либо его удаляет. Случается, что моляры прорезываются уже больными. Их нужно сразу удалять, потому что около окружающих тканей параллельно появляются кисты. Обычно в таких случаях, когда лезет зуб мудрости, болит горло, а во рту чувствуется посторонний предмет в мягких тканях.
Доктора предупреждают, что такие скрытые аномалии тоже опасны, потому что повреждают корневую систему соседних «семерок». Всегда необходимо сделать рентген, даже если отсутствует боль, лезет зуб мудрости в правильном положении, не причиняя неудобств, чтобы убедиться, в отсутствии опасности для «сородичей». После этого врач примет решение. Не стоит бояться походов к стоматологу, ведь все манипуляции проводятся под местной анестезией. Если лезет зуб мудрости, болит и приносит неудобства, его можно удалить. Современные технологии помогут избавиться от проблемы навсегда!













