Большинство людей, пренебрегающих регулярным осмотром, уверены, что серьезные проблемы с зубами бывают только у пожилых людей. Конечно, речь идет не о кариесе или дырке в зубе, а о более серьезных проблемах. Но врачи бьют тревогу: с каждым годом растет количество молодых пациентов, у которых диагностируют пародонтит или пародонтоз, которые лишаются здоровых зубов и носят протезы либо вставные челюсти. Причина – игнорирование первых симптомов. Так, если человек видит, что у него десна оголила корень зуба, он связывает это с нехваткой витаминов. Хотя истина кроется в другом.
Причины оголения корней зубов
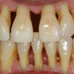
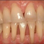
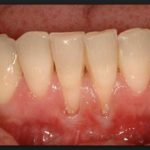
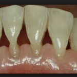
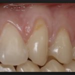
Стоматологи такое явление называют рецессией или опусканием мягких тканей, в результате которых просматриваются части резца, в здоровом состоянии скрытые слизистыми оболочками. Это не только некрасиво, но также опасно, потому что проблема не возникает сама по себе. Оголение корней зубов часто происходит в пожилом возрасте, но у молодых людей провоцирующим фактором может стать изжога или патология в работе щитовидной железы. Также этому способствует неправильная гигиена:
- человек пропускает чистку зубов или проводит ее слишком быстро;
- неправильно подобрана паста или щетка;
- злоупотребление отбеливанием (в том числе, капами, пастами с абразивными частицами);
- генетически тонкие мягкие ткани;
- врожденные дефекты ротовой полости;
- скрытые воспалительные процессы, заболевания;
- употребление твердой пищи, которая вызывает порезы во рту;
- тонкая костная структура.
Если оголился корень зуба, нужно устранять проблему, а не симптом. Современные методы диагностики позволяют быстро выявить болезнь и начать ее лечение как можно скорее. Врач не только выслушивает жалобы пациента, но также обращает внимание на сопутствующую симптоматику. Так, больной жалуется на боль около корней и прилегающих тканей, возникает сильная чувствительность к горячей и холодной пище, наблюдаются сложности с жеванием. Мягкие ткани меняют оттенок и внешне выглядят отечными. Корни резцов при этом увеличены, а эмаль может полностью или частично изменить оттенок.
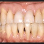
Заподозрить неладное пациент может еще дома, когда во время утренней гигиены будет регулярно видеть на щетке кровь. В норме небольшая кровоточивость возникает у каждого человека даже просто при неосторожном движении щеткой. Но если кровь появляется каждый день, это повод насторожиться. О том, что болезнь не вылечить обычными лекарствами, свидетельствует заметное увеличение промежутков между резцами. Это происходит из-за истончения мягких тканей. Часто такие симптомы замечают молодые люди, а у пожилых пациентов стоматологические недуги могут проходить без симптомов.
У маленьких детей проблема может наблюдаться на молочных резцах. Многие игнорируют ее, даже когда они значительно расшатываются. Родители считают, что молочные резцы выпадут, а на их месте вырастут здоровые коренные. Поэтому нет смысла заниматься лечением. Но проблема заключается не в резцах, а в состоянии мягких тканей, потерявших свою плотность и тонус вследствие определенного заболевания, которое стоит выявить, чтобы оно не поразило коренные резцы.
Особенности эффективного лечения
Голые корни зубов – только один из симптомов, по которому невозможно сразу поставить диагноз. Обычно доктор выслушивает жалобы пациента, после чего проводит осмотр. В большинстве случаев удаляется зубной камень, поскольку чаще всего именно под ним скрываются многие заболевания, ведь налет – отличное место для размножения бактерий. Далее определяется стадия заболевания, назначается курс лечения.
На ранних этапах, если оголяются корни верхних зубов, но сами они не повреждены, рекомендуют реминерализацию. Эмаль покрывают фтором или специальными составами на его основе. Благодаря этому, твердые ткани насыщаются полезными веществами, эмаль становится менее чувствительной, более устойчивой к внешним раздражителям. При необходимости ставят пломбы на поврежденные резцы.
Также проводят гигиеническую чистку, в процессе которой обрабатываются еще и карманы в мягких тканях, где обычно скапливается много инфекции и гноя. Лучше всего делать это не при наступлении болезни, а в качестве профилактики, посещая стоматолога 1-2 раза в год. Чистка проводится с использованием ультразвука либо лазера6 позволяя убрать бактериальный налет.
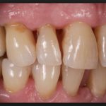
Оголение корней зубов бывает при пульпите. В этом случае фторирование уже не будет эффективно работать, а потому, врач принимает решение ставить пломбу. Правда, это будет стоить дорого, а прийти на прием понадобится 2-3 раза. Дело в том, что когда видна часть резца, обычно скрытая мягкой тканью, поставить пломбу становится сложнее. То же самое касается коронки или виниров – их используют, если оголился корень зуба, и спасти его полностью уже невозможно. Благодаря винирам и коронкам, эмаль можно защитить от дальнейшего разрушения, скрыв место, где ранее было поражение.
Одно из популярных терапевтических мероприятий, рекомендуемых, если оголились нижние корни зубов – пришлифовка. Если доктор видит, что на некоторых участках резцы соприкасаются в результате ослабления мягких тканей, он ставит там пломбы и перфорирует основания. Предварительно также удаляется зубной камень. Далее края пломб шлифуют – и пациент может отправляться домой.
Если этого недостаточно, чтобы убрать оголение корней зубов, лечение проводят посредством хирургического вмешательства, используя лоскутную пластику. Для нее используют ткани, принадлежащие пациенту. Обычно лоскут берут из небной поверхности или части слизистой оболочки в районе верхней челюсти. Ткани натягивают на пораженную область, и после зашивания ждут, приживется ли материал. В качестве альтернативного материала вместо фрагмента с неба часто используют матриксы из коллагена, которые делают процедуру менее травматичной и сокращают время на реабилитацию.
Однако не во всех случаях можно использовать искусственные импланты – это зависит от диагноза, иммунитета, наличия сопутствующих заболеваний, других факторов. Также важно не просто закрыть голые корни зубов, а стимулировать образование новых тканей в этой области, используя прикрепленный материал. Помимо коллагеновых имплантов, широко известен эмдогейн – протеин, получаемый из зубов животных, которые еще не сформировались. Этим веществом при операции обрабатывают видимые участки резцов, что улучшает результат процедуры.
Народные средства
Если оголяются корни зубов сильно – что делать? Особенно, если пойти в больницу прямо сейчас не получается? Можно попробовать снять боль народными средствами. Стоит попробовать массаж мягких тканей с помощью пальцев, на которые нанесено масло эвкалипта, чайного дерева, лимона, гвоздики. После такого массажа лучше примерно 30-40 минут воздержаться от еды, чтобы масло продолжило действовать на пораженных участках.
Если болят десны, оголяются корни зубов, поможет мед, который можно рассасывать во рту или смазывать им ранки. Аналогично применяется прополис, ускоряющий регенерацию тканей. Однако такие способы подходят людям, у которых нет аллергии на продукты пчеловодства. Можно делать компрессы из настоек хвойных пород – они обладают ранозаживляющим эффектом. При сильных болях попробуйте перекись водорода в сочетании с водой. Полученным составом можно полоскать рот. Также можно разжевывать листья подорожника.
В целом, врачи не против народных способов. Тем более, когда оголяются корни зубов резко, что делать, человек не знает. Однако недопустимо применять домашние рецепты вместо назначенной терапии. Особенно это касается случаев, когда человек пытается заменить травами антибиотики. Назначение антибактериальной терапии проводится по определенным показаниям для уничтожения патогенных микроорганизмов. Они точно не исчезнут при помощи обычных компрессов и полоскания. Также запрещено использовать Хлоргексидин для полосканий при выделениях крови.
Использовать домашние средства разрешено только в сочетании с установленным курсом лечения. Лучше посоветоваться с врачом, чтобы исключить опасные сочетания препаратом и ингредиентов. Что касается антибиотиков, то отказываться от их приема не стоит. Современные препараты бережно воздействуют на микрофлору, а принимаемые в комплексе пробиотики помогут организму быстрее восстановить нормальное состояние.
Радикальные методики
Помимо пломбирования и наращивания искусственных тканей в запущенных случаях резцы удаляют. Это происходит после пародонтита, пародонтоза, пульпита, гингивита, других стоматологических недугов. Проще всего вернуть улыбке эстетичность – использовать виниры. Это искусственные коронки, которые снизят нагрузку при жевании, что немаловажно при слабых мягких тканях (особенно, если это наследственная проблема). Они выглядят естественно, но единственный их минус – цена. Придется регулярно обновлять виниры, применять специальные средства по уходу.
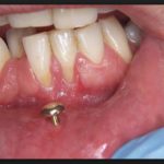
Искусственные коронки помогут вернуть прекрасную улыбку, но их установка повреждает здоровые образования, ведь резцы стачиваются. Именно это останавливает многих людей, которые думают о коррекции зубного ряда. Если болят десны, оголяются корни зубов, а сама болезнь находится в запущенной стадии, нужно точно удалять здоровый резец. Делается это после предварительного рентгена, поскольку доктору нужно посмотреть расположение нервных окончаний, убедиться в отсутствии патологий. После заживления можно будет поставить имплант.
Пожилым пациентам, у которых мягкие ткани уже достаточно чувствительные, доктора часто рекомендуют вставные челюсти. Современные варианты удобны в использовании, привыкание к ним происходит быстро, а уход не будет дорогостоящим. Обычно искусственные челюсти подбираются индивидуально, корректируются в зависимости от индивидуальных особенностей человека.
Важность профилактики
Вне зависимости от возраста каждый человек должен посещать стоматолога хотя бы 1-2 раза в год для профилактического осмотра, снятия зубного камня, который часто становится причиной проблем в ротовой полости. Если возникает проблема, изложенная выше, лечение должно быть основательным. Игнорирование симптомов приводит к тому, что резец без опоры начинает шататься. Он не выпадает сразу, но из-за давления на «собратьев» деформирует весь зубной ряд. Именно это приводит к выпадению сразу нескольких резцов.
Также при отсутствии медицинской помощи повышается вероятность перелома коронки, так как в пришеечной области эмаль тонкая. Ей сложно справиться с нагрузкой, оказываемой на нее при жевании. Также возникает клиновидный дефект в области шейки, в результате чего врачу потом сложно поставить пломбу. Лечение выходит дороже, не ограничивается одним походом в больницу. Эмаль тоже может поменять свой цвет, придавая внешнему виду человека болезненное состояние.
Как избежать проблемы? Соблюдать гигиену, но не злоупотреблять пастами. Достаточно использовать их 1-2 раза в день. Помните, что отбеливающие пасты содержат абразивные частицы, которые травмируют мягкие ткани. Их стоит применять не чаще 1-2 раз в неделю, а при поражении десен совсем не использовать до полного заживления. Если во рту нет открытых ран, для профилактики можно полоскать ротовую полость смесью на основе Хлоргексидина с водой. Средство прекрасно справляется с патогенной микрофлорой, уничтожая начальные очаги инфекции.
Зубы мудрости часто накапливают на своей поверхности инфекцию. В дальнейшем она может распространиться по челюсти, вызвав поражение других резцов. Можно удалить «восьмерки», забыв о трудностях в уходе за ними. Либо необходимо использовать бумажные салфетки, намотанные на палец, при помощи которых снимать налет с моляров, слегка протирая их поверхность. Грамотный, регулярный уход позволит сохранить улыбку как можно дольше.

















