Бородавка на десне не только приносит неудобства, но также выглядит не эстетично. Увеличиваясь в размере, она приводит к асимметрии лица, усложняет прием пищи или даже мешает разговаривать. Сегодня врачи научились удалять такие образования максимально быстро. Современные технологии, эффективные препараты, профессиональный подход – все это поможет убрать проблему. Главное – не пытаться сделать это самостоятельно, чтобы не занести инфекцию. Грамотный специалист удалит бородавку без вреда для здоровья.
Причины появления
Бородавка на десне чаще всего является доброкачественным образованием. Основной причиной его возникновения является вирус папилломы человека. Он может долгое время находиться в организме, никак себя не проявляя, но под воздействием неблагоприятных факторов активизироваться. После этого вирус поражает здоровые клетки. Его можно обнаружить на коже, слизистых оболочках. Чаще всего место появления не случайно, а связано с образом жизни человека, наличием либо отсутствием ряда заболеваний.
Например, простуда угнетает иммунитет. На этом фоне может возникнуть папиллома, активизировавшись, когда организм ослаблен. Этому также способствуют уже имеющиеся стоматологические недуги, если говорить об образованиях на слизистых оболочках. Если мягкие ткани уже поражены инфекцией, вирусу будет проще выбрать их для своего распространения. Наконец, курение, алкоголь, наркотики, неправильное питание, отсутствие регулярной гигиены тоже приводят к тому, что у человека на мягких областях во рту появляются не эстетичные уплотнения.
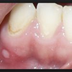
Если посмотреть, как бородавка выглядит на десне, фото проиллюстрирует, что часто образование портит внешний вид. Именно это заставляет многих пациентов перебороть страх больниц и отправиться на прием к специалисту, чтобы обсудить возможность удаления папилломы. Часто папилломы локализуются на небе, внутренней стороне щек, деснах. Вирус при определенных условиях быстро прогрессирует. Это означает, что лечение стоит начать как можно скорее.
Проблемы у детей и потенциальная опасность
Иногда родители замечают, что вдруг у ребенка появился на десне нарост именно как бородавка. Это бывает при прорезывании зубов, когда активизируются процессы роста, а организм становится временно уязвим для инфекции или различных хронических недугов, которые в этот период обостряются. Важно обратить внимание на то, является ли проблема наследственной. Если в роду уже были случаи бородавок на слизистых оболочках, либо кто-то из родственников был склонен к дерматологическим заболеваниям, возможно, это передалось ребенку.
Бородавка появляется на десне именно у ребенка в момент переходного возраста. Происходящая перестройка тоже может приводить не только к высыпаниям на коже, но также образованиям на слизистых оболочках. Это особенно часто бывает, если у тинейджера имеются невылеченные стоматологические недуги – инфекции легче поразить ротовую полость, чем здоровые органы и системы.
Папилломы достаточно опасны, потому что под воздействием различных факторов перерождаются в злокачественные опухоли. Рак лечится с трудом, и статистика смертности от него достаточно большая, хотя доктора ежегодно используют все новые методы борьбы с ним. Риск перерождения бородавки в опухоль не настолько высокий, но любую папиллому нужно контролировать. Особенно это касается роста образования или появления аналогичных уплотнений на других частях тела.
Методы эффективной борьбы
Если бородавка не доставляет неудобств, не травмируется во время еды, а также не меняет внешность человека, врачи предлагают сделать пробу на онкомаркеры, и при отрицательном результате рекомендуют просто отслеживать образование. Оно может годами не меняться, но при резком росте его стоит удалить. Образование не убирают сразу, поскольку всегда есть вероятность появления еще большего количества бородавок или развития рака. Считается, что лучше не трогать папиллому, которая не влияет на качество жизни.
На начальных этапах или когда образование не появилось, но наследственность у пациента не самая лучшая, врачи рекомендуют регулярно проходить осмотры, удалять зубной камень, лечить имеющиеся стоматологические недуги. Особое внимание уделяется кариесу, который возникает даже у людей, которые тщательно ухаживают за ротовой полостью. Обязательно назначаются витамины, которые повышают иммунитет.
Основная задача сводится к тому, чтобы сначала подавить активность вируса папилломы человека, а уже затем заниматься устранением бородавок. Для этого подходят противовирусные средства. Также врач рекомендует пациенту дома соблюдать гигиену и полоскать ротовую полость после каждого приема пищи. Если медикаментозные средства результата не дают, бородавку удаляют.
Сегодня одним из самых современных методов удаления образований на слизистых считается применение лазера. Этот способ хорош тем, что точечно воздействует на проблему, не затрагивая здоровые ткани. Восстановительный период после такой процедуры составляет около 3-5 дней, а само удаление безболезненное. Этот метод дороже, чем применение жидкого азота – им часто прижигали бородавки в 90-е гг. Сейчас некоторые клиники (особенно в маленьких городах) практикуют такой подход. Эффективность такого лечения ниже. Иногда приходится несколько раз обрабатывать папиллому.
Важную роль играет профилактика образования бородавок. Специалисты рекомендуют использовать только свои предметы гигиены (зубные щетки, полотенца и т.д.), тщательно мыть посуду и следить за тем, в чем подают еду в общественных местах. Недопустимо использовать чужие зубные протезы, нити. Поскольку вирус папилломы передается от матери к ребенку, до беременности лучше обследоваться, вместе с доктором разработать терапию, которая поможет блокировать активность возбудителя. Внимательный подход к здоровью поможет забыть о бородавках.












