Иногда даже пациенты, которые тщательно ухаживают за полостью рта, замечают, что у них десна отошла от зуба. Этот небольшой дефект порой хочется проигнорировать. Особенно, если он не особенно виден в реальной жизни, не нарушает эстетику улыбки. Между тем, это признак нарушений, которые впоследствии могут привести даже к потере зубов. Важно выяснить, почему десна отходит от зуба – это поможет выявить болезнь, своевременно заняться лечением.
Причины и главная опасность
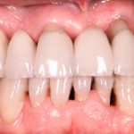
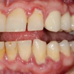
В сфере стоматологии подобное состояние известно как рецессия. Она предполагает, что края мягких тканей постепенно стираются, отслаиваются, из-за чего корни зубов или их фрагменты становятся открытыми для инфекции. Оголяются зубы, десна отходит от них при запущенном пародонтите. Появляются карманы, которые потом могут привести к развитию пародонтоза. Эмаль с большей вероятностью поражается бактериями, поскольку слизистые оболочки больше ее не защищают. Без лечения резцы все больше повреждаются, расшатываются и могут даже сломаться.
Поскольку рецессия проходит незаметно, пациент может узнать о ней, только когда десна отходят именно от зубов. Причины могут заключаться даже не в пародонтите. Например, у некоторых людей данное состояние обусловлено генетически. Если кто-то из родственников уже сталкивался с такой проблемой, она может появиться у его потомков. Поэтому если заболевания пародонта в роду распространен, важно не дожидаться состояния, когда десна отошла сильно от зуба, а регулярно проходить осмотры, чтобы контролировать нормальное состояние мягких тканей.
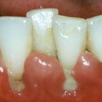
При неправильной гигиене можно повредить мягкие ткани. Например, рецессия возникает, если пациент использует жесткую щетку, думая, что так лучше очистит зубы. Напротив, травмируются резцы и слизистые оболочки. Возникают царапины, десна кровоточит регулярно и отходит сильно от зуба. Параллельно из-за истончения эмали повышается чувствительность. Визуально человек тоже отмечает изменения: зуб как будто удлиняется, хотя по факту это произошло из-за его оголения. Аналогичная ситуация возникает при злоупотреблении отбеливающими пастами с грубыми частицами.
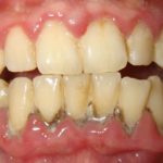
Мало ухаживать за полостью рта дома – необходимо регулярно посещать врача, чтобы производить осмотр, чистку. Если человек не думает о снятии зубного камня, он может увидеть, как десна воспалилась вдруг и отходит резко от зуба. Этот процесс возникает, поскольку даже после самой тщательной гигиены дома около резцов остаются частички пищи, которые формируют налет. Накапливая бактерии, он постепенно скапливается у корней, начинает твердеть, давить на чувствительные области. Особенно часто по этой причине можно увидеть, как нижняя десна отходит сильно от зубов.
Другие причины
Гормональные изменения влияют на работу организма, вызывая не только плохое настроение, но также обострение различных заболеваний. Именно поэтому переходный возраст, беременность, менопауза считаются состояниями, в течение которых стоматологические недуги могут проявиться. Особенно часто отходят десна сильно от зубов именно при беременности. Это связано также с недостатком витаминов, который необходимо восполнять, принимая специальные комплексы.
Поскольку жизнь современного человека наполнена стрессами, все чаще у людей проявляется такая проблема, как бруксизм. Скрежетание зубами – не просто вредная привычка, но также путь ко многим заболеваниям. На зубы оказывается сильное давление, что ухудшает состояние мягких тканей. Десна отходит от зуба, а сам резец становится более чувствительным к патогенной микрофлоре, что вызывает различные заболевания.
Аналогичная ситуация складывается при неправильном прикусе. Поэтому ношение брекетов – это не только способ решить эстетические проблемы улыбки, но также сохранить нормальное состояние слизистых оболочек. Они настолько чувствительны, что даже пирсинг становится проблемой, раздражая мягкие области. Слишком большие или некачественные серьги царапают поверхности. Впоследствии человек видит, что десна отошла резко от зуба.
При курении в наибольшей степени страдает именно ротовая полость. На языке курильщика регулярно образуется налет желтого цвета, который сложно удалить. Это приводит к рецессии, при которой появляются карманы, расшатываются зубы. Особенно не эстетично выглядит, когда отошла десна именно от переднего зуба, что часто случается с любителями выкурить сигаретку. Около мягких тканей при этом ощущается небольшая выемка, а также создается впечатление, что зуб стал длиннее.
Моляры приносят множество неудобств своим владельцам. Особенно сложен их рост. Различные патологии, возникающие в этот период, приводят к тому, что мягкие области болят, отекают, нарушают эстетику улыбки. Часто пациенты жалуются, что отошла десна именно от зуба мудрости неожиданно и болит. Это происходит при неправильном росте восьмерок, которые давят на соседние резцы, а также провоцируют неприятные ощущения в челюсти. Тут поможет врач, который, возможно, предложит удаление как одну из наиболее эффективных мер.
Основы лечения
Если десна отошла резко от зуба, лечение лучше доверить специалистам. Домашние манипуляции могут усугубить проблему или не увенчаться результатом. Первоначально проводится осмотр, удаляется зубной камень, обрабатываются пародонтальные карманы, если они есть. При наличии бактерий назначаются антибиотики. Отказываться от их приема не стоит, если десна отошла вдруг от зуба пациента и болит, ведь важно справиться с патогенной микрофлорой, которая распространяется по организму. Параллельно для можно принимать пробиотики. Часто назначают:
- полоскания, которые можно проводить при помощи Мирамистина, Хлоргексидина, Стоматидина;
- антисептики на основе растворов специально для промывания карманов;
- компрессы из бинта или марли, пропитанных антибиотиками;
- медицинские препараты с противовоспалительным эффектом;
- гели или мази, которые снимают боль, ускоряют заживление;
- комплексы с витаминами при недостатке полезных веществ.
При сильной рецессии, когда десна отходит сильно от зуба пациента, что делать, решает врач. В запущенных случаях необходима операция. Это происходит, когда карманы слишком глубокие, а костная ткань уже достаточно поражена. Самый простой способ – открытый кюретаж, при котором осуществляется рассечение десны. Более сложный процесс – лоскутная операция. Часто перед тем, как лечить десны пациента, которые отходят сильно от зубов, врач формирует лоскут путем надреза мягких тканей. Далее проводится чистка и восстановление кости, если это необходимо, закрепляя лоскут.
Сегодня многие клиники предлагают услугу по регенерации тканей. Для этого синтетический материал, имитирующий костную ткань, накладывается на поврежденное место, что приводит к усиленному восстановлению естественным путем. Этот способ часто применяется, если десна отошла вдруг от зуба – фото доказывают, что бороться с проблемой реально. Также возможна трансплантация участков, при которой донорская зона находится в области неба. Таким способом можно уменьшить размер кармана, предотвратив костные разрушения.
Многие интересуются, если десна отошла вдруг от зуба, народные средства сработают, либо лучше отдать предпочтение медикаментам. На этот вопрос ответит лечащий врач, основываясь на диагнозе и степени поражения. Чаще всего специалисты не против применения домашних рецептов, но только вместе с назначенной терапией. Отлично помогает снять воспаление настойка прополиса, из которой делают компрессы. При сильных болях допустимы гели с охлаждающим эффектом, которые уберут дискомфорт.
Аналогично для полосканий, если отходит десна именно от зуба мудрости, можно применять отвар коры дуба, перекись водорода, ромашку, настойку из зверобоя, брусники. На время лечения важно исключить жесткую пищу, которая может дополнительно травмировать мягкие ткани. Также важна регулярная гигиена. После еды желательно полоскать рот, а отбеливающие пасты рекомендуется временно отложить, поскольку их абразивные частицы тоже вызывают микроскопические трещины.
Почему десна отходит вдруг от зуба (причины), лечение – всю эту информацию можно получить у врача. Специалисты поможет восстановиться максимально быстро. Современные методики, эффективные препараты и профессиональный подход сработает как нельзя лучше. Поэтому для предупреждения проблем всегда важно хотя бы 1-2 раза в год посещать стоматолога. В этом случае многих проблем удастся избежать, сохранив красоту улыбки надолго.














