Пародонтоз относится к большой группе стоматологических заболеваний, поражающих пародонт — ткани, окружающие зуб. При этой патологии наблюдается неуклонное уменьшение объема костных тканей, снижение высоты альвеолярного отростка (ложа, в котором находится зуб) и утрата зубом стабильного положения в ряду. Как предотвратить пародонтоз лечение заболевания и еще много полезной информации в сегодняшнем обзоре.

Причины и симптомы
Точные причины пародонтоза до сих пор не изучены, но уже доказана прямая этого заболевания с рядом обстоятельств. Так, пародонтоз чаще всего диагностируется у лиц, страдающих хроническими заболеваниями эндокринной и иммунной системы, нарушениями метаболизма, у курильщиков перенесших хирургические операции под длительной общей анестезией и людей пренебрегающих правилами гигиены полости рта. Но то, что уже стало на 100% понятно — пароднотоз всегда развивается по последовательной схеме.
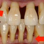
Как правило, он начинается с гингивита или пародонтита — воспалительных процессов, которые оставлены без лечения. При этом десны становятся резко отечными, болезненными, при чистке зубов или во время еды они кровоточат. По мере развития патологии, воспалительный процесс сменяется дегенеративным — ткани пародонта уменьшаются в размерах, постепенно оголяется шейка зуба, и зуб становится ненормально подвижным. На этом этапе боль, как правило уходит или беспокоит крайне редко. Десны становятся бледными и атоничными, их края опускаются. На этой стадии уже можно с точностью диагностировать активный пародонтоз.
Лечение
Если у пациента выявлен пародонтоз лечение всегда начинается с профессиональной чистки полости рта. Практически во всех случаях при этом заболевании обнаруживаются зубные камни, в присутствии которых края десен опускаются, а собственно ткани десен сдавливаются, и в них нарушается кровообращение. Поэтому в первую очередь врач удаляет минерализованные отложения, создавая необходимые условия для восстановления десен. В зависимости от степени запущенности процесса дальнейшее лечения может широко варьироваться.
При начальной степени пародонтоза, когда подвижность зубов еще незначительная, применяется медикаментозное лечение. В курс терапии включаются антибактериальные, противовоспалительные препараты системного действия, антисептики и бактерицидные средства (для полоскания рта) и специальные гели или мази, улучшающие кровообращение в тканях пародонта и стимулирующие в них регенерационные процессы (в виде аппликаций на десны).
В первое время, возможно, придется ежедневно посещать врача, который будет закладывать мазь в очищенные зубодесневые карманы и наклеивать специальный стоматологический пластырь. После завершения процедуры он удаляется, и вы можете отправляться домой. В последующем назначенную мазь будет нужно использовать самостоятельно, в домашних условиях.
Лекарство от пародонтоза, который уже запущен и выражен сильной подвижностью зубов, может вводиться в десны с помощью инъекций, если врач считает это необходимым. Также может применяться ортопедическое лечение — шинирование наиболее подвижных зубов с целью предупредить их вывих или перелом. Но в последней стадии этого заболевания редко удается обойтись без удаления зубов, которые уже не выполняют свои функции и не могут быть восстановлены существующими сегодня методами и средствами.
Домашнее лечение
Какие методы эффективны
В первую очередь следует понимать, что ни одно, даже самое эффективное лечение не окажет ожидаемого действия, если применяется само по себе. Только комплексный подход и систематичность всех процедур поможет устранить пародонтоз или, как минимум, остановить его развитие.

Среди наиболее эффективных направлений домашнего лечения можно перечислить следующие:
- Тщательная гигиена полости рта. Если для здоровых зубов достаточно зубной щетки, пасты и нити, то чистка зубов при пародонтозе подразумевает выбор щетки с мягкой щетиной, специализированной зубной пасты (Пародонтакс, Пародонтал, Лакалут Актив, Сенсодин и пр.), ополаскивателя (Листерин Защита Десен, Лакалут Актив, Президент Профи и пр.), а также ирригатора. Ирригатор следует использовать как в режиме очищения зубодесневых карманов, так и в режиме массажа.
- Массаж десен. После каждой чистки зубов следует чистым мокрым пальцем (его боковой частью) активно массировать десны круговыми движениями и параллельными зубам, в течение 1-2 минут.
- Коррекция рациона. В ежедневное меню следует обязательно включать твердые свежие овощи и фрукты, которые при пережевывании создают оптимальную нагрузку на зубы и стимулируют таким образом кровообращение в тканях пародонта При этом необходимо свести к минимуму или полностью исключить потребление сладостей и выпечки.
- Принимать системные препараты, назначенные врачом. Связь пародонтоза с общим состоянием здоровья очевидна. Поэтому строго выполняйте назначения врача касательно приема витаминных, иммуностимулирующих, антибактериальных и других препаратов, выписанных врачом, даже если они вам кажутся не связанными с состоянием ваших зубов.
- Проводить курсы местного лечения. При назначении лекарственных препаратов врач обязательно даст вам рекомендации касательно средств местного действия. Мазь для десен от пародонтоза регулярно наносится по указанной врачом схеме и позволяет укрепить десны, снять в них воспаление и улучшить микроциркуляцию в тканях, которые при этом заболевании остаются практически без кровоснабжения.
Какую выбрать мазь для десен от пародонтоза
Если у вас диагностирован пародонтоз лечение обязательно подразумевает использование специальных мазей и гелей. Они наносятся на десны 2-4 раза в день после чистки зубов, или втираются в десны. Второй вариант считается более предпочтительным, так как кроме медикаментозного эффекта обеспечивается и физиотерапевтический — массаж десен и стимуляция в них кровообращения.

Наиболее эффективными себя зарекомендовали следующие мази:
- Левомеколь — оказывает бактерицидный эффект и стимулирует регенерационные процессы в тканях.
- Солкосерил — регенерирующие свойства мази проявляются в стимуляции роста новых кровеносных сосудов в тканях пародонта и улучшении клеточного метаболизма.
- Гепариновая мазь — препятствует закупорке сосудов в деснах, которая характерна для замедленного кровообращения при пародонтозе.
- Камистад — применяется при выраженном болевом синдроме и повышенной чувствительности зубов и десен, которая снижает качество жизни больного.













Очень полезная информация. Спасибо автору. Не думала, что пародонтоз настолько опасен.
Теперь надо подобрать себе правильную зубную пасту.