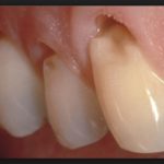
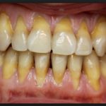
Здоровые зубы располагаются в деснах, а видна только коронка. Остальные части, корень и шейка, скрыты мягкими тканями. Если оголилась шейка зубов, важно сразу найти причину этой проблемы, поскольку это может быть признак стоматологического недуга, игнорирование которого приведет к затратам на лечение или потере резца с последующим протезированием. Современные методики позволяют быстро диагностировать заболевание и назначить эффективную терапию.
Причины
Оголение шейки зуба является одним из симптомов пародонтита. Если на этом этапе не остановить его развитие, впоследствии оголятся корни. Также причинами являются различные патологии стоматологического характера вне зависимости от возраста. Этому способствует неправильная гигиена ротовой полости, когда человек использует слишком жесткую щетку или злоупотребляет отбеливающими пастами с абразивными частицами, формирующими микроцарапины, через которые внутрь проникает инфекций. Под ее воздействием опускаются десны, оголяются шейки зубов.
Мягкие ткани становятся слабыми и восприимчивыми к воспалениям из-за курения, употребления пищи, обедненной минеральным составом. Проблему усугубляют редкие посещения стоматолога, тогда как для поддержания ротовой полости в здоровом состоянии необходимо 1-2 раза в год проходить обследование. Это особенно важно для снятия зубного камня – частой причины оголения шейки зуба. Когда на резцах накапливается налет, он затвердевает и давит на мягкие ткани, травмируя их, обнажая резцы и делая их чувствительными.
Когда человек слишком увлекается процедурами в сфере эстетической стоматологии, делает отбеливание сразу на несколько тонов, это приводит к травмированию эмали и прилегающих тканей. Края их стираются, из-за чего происходит оголение шейки зуба. К этому приводит затяжной кариес, который распространяется по ротовой полости, вызывая гингивит, пародонтит, другие болезни. Результатом становится удаление резца. Аналогичные проблемы возникают при анатомических особенностях (например, при короткой уздечке, неправильном прикусе).
Многие болезни внутренних органов вызывают оголение шейки зуба – лечение должно быть направлено на устранение причины, а не проблемы с деснами. Часто это недостаток гормонов щитовидной железы, сахарный диабет, неполадки в работе кишечника. Нельзя недооценивать хроническую усталость на почве переутомления, сильного стресса, недостатка витаминов. Это состояние негативно влияет на организм, вызывая также проблемы с деснами.
Симптомы
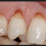
Если проблема находится в поле зрения, то начальная стадия недуга будет заметна в зеркало. Края десны отодвигаются от своего привычного места расположения, а в данной области наблюдается легкое покраснение. Если речь идет о резцах, расположенных далеко, то понять, что оголилась шейка зуба, можно по ноющим болям. Они могут быть пульсирующими, отдавать в висок или челюсть. Кроме того, стоит обратить внимание на следующим признаки:
- десна приобретает темно-багровый оттенок;
- в месте поражения наблюдается заметная припухлость;
- возникают неприятные ощущения даже в спокойном состоянии;
- появляется реакция на слишком холодную или горячую пищу, становится сложно кусать и пережевывать твердые продукты;
- в редких случаях поднимается температура, которую не получается сбить жаропонижающими средствами;
- если поражение находится далеко, боли могут отдавать в горло, как при простуде.
Хотя бы один из этих симптомов становится поводом для посещения доктора. Попутно может возникнуть неприятный запах изо рта, а резцы станут шататься. Появляются карманы, сформированные из мягких тканей, куда проникают остатки пищи, инфекция, формируя благоприятную среду для развития бактерий. От этого возникает нагноение, разрыв которого может привести к заражению внутренних органов продуктами распада. Врач должен выяснить, почему оголяются шейки зубов, поскольку лечение основного заболевания приведет к устранению данной проблемы.
Эффективное лечение
На начальных стадиях обычно назначают полоскания специальными растворами, которые можно найти в любой аптеке. Это позволяет снять отечность и красноту, уменьшить боль. Параллельно стоит применять пасты с антибактериальным и успокаивающим эффектом. На время запрещены все отбеливающие варианты, поскольку в их состав входят твердые частицы, которые усугубят проблему. Если шейка зуба оголилась, лечение проводится после снятия зубного камня, что позволит лучше осмотреть ротовую полость, ведь часто причиной такого состояния является кариес. Если у пациента найдены дефекты ротовой полости, которые в будущем вызовут обострение болезни, рекомендуют их корректировать брекетами, изменением длины уздечки.
Доступны специальные методики, которые используются, если оголилась шейка зуба. Отличный результат позволяет получить реминерализация, при которой поверхность резцов обрабатывается составом, обогащающим эмаль. Это снижает чувствительность резцов, делает их устойчивыми к агрессивным внешним воздействиям. Помогает фторирование – покрытие поверхности фторсодержащим препаратом, проникающим в более глубокие слои по сравнению с реминерализацией. Тип процедуры порекомендует врач в зависимости от степени тяжести недуга.
Более радикальные методы включают пломбирование, установку виниров, искусственных коронок. Из-за специфической формы не всегда можно поставить пломбу на пораженную область – этот метод используется редко, чаще всего актуален на начальной стадии. Виниры стоят дороже, но считаются эффективным средством при слабых деснах с клиновидным дефектом. Они позволяют уменьшить нагрузку на мягкие ткани при жевании, а улыбка выглядит безупречно. Минус в том, что виниры нужно регулярно менять, а уход за ними потребует расходов.
Если у пациента оголилась шейка зубов, ему могут порекомендовать искусственные коронки. С ними можно забыть о проблемах с деснами. Однако в процессе установки повреждаются здоровые резцы, потому что их нужно сточить. Это останавливает многих пациентов, но иногда такая мера является единственной возможностью справиться с проблемой, сохранив эстетику улыбки. В запущенных случаях показано только хирургическое удаление корня с заменой на имплант, а также возможна реконструкция пораженной десны с использованием здоровых тканей.
Нет времени пойти к стоматологу прямо сейчас, но оголилась шейка зуба сильно – что делать? Можно снять воспаление массаж с применением масел гвоздики, лимона, эвкалипта. При отсутствии аллергии на продукты пчеловодства пациенты рассасывают мед или смазывают больные участки настойкой, мазью на основе прополиса. Настои из хвойных деревьев снимают боль, если их использовать в виде компрессов.
Также из экстренных средств рекомендуется перекись водорода, которую разводят водой и полученным составом протирают пораженные поверхности. Параллельно можно полоскать ротовую полость растворами из календулы, ромашки. Листья подорожника тоже можно применять с этой целью или просто разжевывать. Обычно стоматологи не против домашних методик, но предупреждают, если шейка зуба оголилась, лечение медикаментами нельзя заменять народной терапией. Допустимо сочетать ее с уже назначенным курсом.
Регулярный осмотр с устранением текущих мелких проблем позволяет пациенту избежать неприятностей с деснами. Регулярная гигиена, использование качественной зубной пасты, правильно подобранная зубная щетка позволят всегда улыбаться без стеснения. Если оголилась шейка зуба – что делать, знать должен каждый. Но намного важнее понимать, что профилактика поражений десен поможет проводить меньше времени в стоматологическом кабинете!













