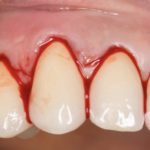
У любого человека время от времени кровит десна – это может быть связано с низким иммунитетом или даже неосторожном движении при чистке зубов. Переживать не стоит, если случай произошел единожды. Однако регулярное появление кровянистых выделений – повод посетить врача, чтобы найти источник проблемы. Пока еще нет боли, выявить недуг можно на ранней стадии. Это точно сэкономит день, время, позволив сохранить улыбку красивой.
Почему так происходит?
Самая распространенная причина – несоблюдение гигиены ротовой полости. Нерегулярная или неправильная чистка зубов часто приводит к поражению тканей и резцов, вызывая нарушения в их строении. Также если кровоточат десна при чистке зубов, скорее всего, нужно поменять щетку – она может быть слишком жесткой. Злоупотребление отбеливающими пастами тоже влияет на появление такой проблемы, ведь они содержат грубые абразивные частицы, травмирующие чувствительные участки.
Если человек злоупотребляет твердой, жесткой пищей, неправильно пользуется зубочистками, на слизистых оболочках возникают порезы, из которых выделяется кровь. Этому также способствует зубной камень. Обычно даже при самой правильной чистке не получается полностью удалить все загрязнения. Поэтому остатки пищи, становясь отличной средой для обитания бактерий, со временем твердеют, скапливаясь у корней и травмируя десны. Среди других причин:
- прорезывание новых зубов (особенно это касается моляров);
- цинга и недостаток витамина С;
- наличие кисты (причем, стадия довольно запущенная);
- травма после удара, падения;
- воспаление носоглотки или ушей;
- злокачественные опухоли;
- низкий иммунитет из-за авитаминоза, перенесенных заболеваний (часто бывает после простуды);
- длительный прием определенных лекарственных препаратов.
Многие женщины отмечают, что у них кровоточат десна во время беременности. Это также считается вариантом нормы из-за гормональной перестройки. Правда, это не повод махнуть на себя рукой, ведь выделение крови говорит о том, что ткани пародонта становятся более рыхлыми. Важно посетить врача, чтобы разработать комплекс мер, направленных на защиту ротовой полости от патогенной микрофлоры. Это касается не только беременных, но также всех пациентов, которым стоит своевременно диагностировать проблемы с зубами и деснами, начав лечиться как можно быстрее.
Часто кровит десна после удаления зуба. Совершенно нормально, если первые 2 часа пациент чувствует специфический привкус во рту. Однако если это продолжается дольше, необходимо обратиться к специалисту и узнать причины проблемы. Также у человека может быть пониженная свертываемость крови, из-за чего ее выделение будет продолжаться дольше обычного. Паниковать не стоит, но определить, почему это возникает, нужно обязательно.
Признаки и потенциальная опасность
Многие люди считают, что даже если кровоточат десны во время еды, но боли при этом нет, беспокоиться не стоит. Однако такие симптомы могут быть проявлением гингивита в начальной стадии. Если сейчас заняться разработкой эффективного терапевтического курса, можно избежать удаления зубов и денежных расходов. Также за такой безобидной проблемой могут скрываться другие стоматологические недуги. Насторожиться нужно, если попутно наблюдаются следующие состояния:
- рецидивирующие или острые боли;
- боли с пульсацией;
- повышение температуры как признак воспалительного процесса;
- отек мягких тканей;
- появление уплотнений, которые на ощупь мягкие или похожи на костный нарост;
- образование десневых карманов;
- расшатывание зубов, увеличение их подвижности;
- оголение шеек зубов;
- регулярное выделение крови даже без прикосновения к тканям.
Главная опасность заключается в том, что кровь из десен – не просто эстетический недостаток, а признак серьезных патологий. Если у пациента кровоточат десна, и неприятный запах уже появился, скорее всего, речь идет о нагноении поврежденного участка. Его разрыв приведет к заражению организма и заболеваниям внутренних органов. Также за кровотечениями может скрываться лейкемия, диабет, злокачественная опухоль поджелудочной железы. В разы возрастает вероятность инфаркта и инсульта.
Как лечить?
Первоначально на приеме врач ставит диагноз, учитывая жалобы пациента, состояние ротовой полости, результаты рентгена и анализов, которые он может назначить, чтобы подтвердить или уточнить тип недуга. Также потребуется удалить зубной камень, под которым часто скрывается очаг инфекции. После этого специалист разработает комплекс мер для эффективного лечения – хирургического либо консервативного.
Если причина проблемы – заболевания зубов, кисты, их часто удаляют. Но все зависит от стадии заболевания. Нарушения в работе организма, низкий иммунитет, сопутствующие хронические недуги лечатся у других специалистов, к которым пациента направит стоматолог. Если природа недуга вирусная, обязательно назначаются антибиотики, а лечение продолжают уже после устранения первопричины.
Не нужно самостоятельно думать, чем полоскать десна при кровотечении – важно сначала установить причину проблемы, а уже потом разработать комплекс мер, направленных на ее устранение. В качестве экстренной помощи можно использовать гели и кремы: Солкосерил, Холисал, Метрогил Дента, которые помогут остановить кровь. Также допустимо дополнять уже назначенный курс лечения полосканиями из крапивы, ромашки, прополиса. Они укрепят мягкие ткани, позволяя быстрее восстановиться.
Для местного использования можно приобрести Малавит, Мирамистин, Мараславин – средства с антисептическими и противовоспалительными свойствами. Также требуется принимать антибиотики, витаминные комплексы. Использовать народные средства допустимо, но только вместе с назначенной терапией, а не в качестве ее замены. Обязательно исключение твердой, жесткой пищи, алкоголя и сигарет. При правильном и внимательном подходе побороть недуг в кратчайшие сроки вполне реально.














