Кариес корня зуба — одна из наиболее тяжелых разновидностей этого заболевания. Это обусловлено тем, что он развивается незаметно, не обнаруживая себя никакими внешними признаками. Как результат, болезнь часто выявляется на той стадии, когда в корне зуба произошли необратимые изменения, и сохранить зуб уже невозможно.Так существуют ли способы вовремя выявить это заболевание или предупредить его развитие?
Причины
Кариес корня зуба всегда развивается в качестве осложнения пришеечной формы заболевания или кариеса, образовавшегося под десной. Эти разновидности болезни, в свою очередь, имеют собственные источники. Как правило, это твердый зубной налет. Длительное присутствие на зубе минерализованных отложений со временем приводит к их опущению вниз, по направлению к десне и под нее, к шейке зуба. Анатомически эта часть зуба наименее защищена — слой эмали очень тонкий, что позволяет болезни намного быстрее разрушить его и проникнуть в ткани дентина.
Более того, кариес в большинстве случаев развивается по пути «наименьшего сопротивления» — зуб повреждается болезнью в направлении наиболее уязвимых участков. Поэтому кариес редко «поднимается» к коронке зуба, которая защищена толстым слоем эмали, и прогрессирует в направлении корня.
Факторами, способствующими развитию кариеса корня, являются:
- неправильно изготовленные или неправильно установленные искусственные коронки;
- нарушения прикуса или аномалии зубной дуги;
- гипоплазия и аплазия зубной эмали.
Симптомы
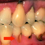
Кариес на корне зуба визуально практически никогда не определяется. Очень редко, и лишь в случаях, когда зубной камень значительно опустил ткани десны, может быть видно темное пятно или изъязвленный участок эмали. Чаще всего кариесом развивается на корнях передних нижних зубов и в межзубном промежутке. Во втором случае можно заметить снижение высоты десневого сосочка и увеличение межзубного промежутка в самой нижней его части.
Во всех остальных случаях обратиться к врачу заставляют только физические симптомы:
- Чувство дискомфорта или легкой боли, которая появляется только в одном зубе при потреблении горячих или холодных напитков.
- Боль в глубоких тканях десны при откусывании твердой пищи.
- При постукивании по зубу он реагирует кратковременной болью.
- Изо рта может появиться неприятный запах, который не связан с качеством гигиены полости рта или приемом каких-либо специфических продуктов питания.
К сожалению, появление таких симптомов говорит об уже далеко зашедшем патологическом процессе. Поэтому единственным надежным методом выявления кариеса на корне зуба являются регулярные осмотры у стоматолога. Кроме того, при визите к врачу следует обязательно упомянуть о беспокоящих вас симптомах, так как на сегодняшний день в арсенале медицины нет средств, которые могли бы выявить эту форму кариеса при визуальном осмотре. Только рентгенографическое исследование может определить проблему, но показанием для его назначения могут стать только объективные причины, например, ваши жалобы.
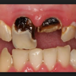
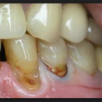
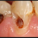
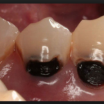
Кариес корня зуба фото
Осложнения
Наиболее вероятным осложнением является разрушение корневой части зуба и необходимость в его удалении, даже если коронковая часть абсолютно цела и здорова. Кроме этого, если на корне зуба кариес, это ставит под удар опорно-связочный аппарат, который может быть инфицирован кариес-образующими бактериями. Как результат, развивается периодонтит, периостит, периодонтальные осложнения (абсцесс, флегмона), киста корня и другие осложнения. Ни одно из них не проходит без последствий как для зубочелюстной системы, так и для организма в целом.
Особенно опасны они для детей младшего возраста, пожилых людей и тех, кто проходит восстановительный период после перенесенных болезней или хирургических операций. Инфекция может быстро распространиться по надкостнице и подкожной жировой клетчатке на другие органы и ткани, и даже стать причиной экстренной госпитализации.
Поэтому обращение к врачу с кариесом на корне зуба должно быть незамедлительным, как только появились подозрения на развитие этой болезни.
Лечение
Как лечить кариес корня зуба — решает врач на основании результатов рентгенографического исследования. Если изменения в корне еще не достигли стадии критических и функциональность этой части зуба может быть восстановлена, проводится рассечение десны, чтобы у стоматолога был доступ к корню.
Перед операцией используется анестезия, подобранная с учетом предполагаемой сложности и продолжительности всех манипуляций. Это может быть местное обезболивание или внутривенная седация.
После рассечения десны врач удаляет измененные и разрыхленные ткани, которые подверглись патологическим изменениям. Часто приходится удалять пульпу, так как при корневом кариесе крайне сложно восстановить корень так, чтобы не оказать влияния на корневые каналы и пульпу, расположенную в ней. В этом случае проводится препарирование зуба через коронку (так же, как при кариозной полости, расположенной на видимой части зуба).
После завершения всех манипуляций стоматолог герметизирует корневые каналы, реконструирует корневую и коронковую часть зуба и накладывает швы на десну.
В послеоперационном лечении обязательно назначаются лекарственные препараты для предупреждения бактериальных осложнений и для симптоматического лечения боли. Это могут быть такие средства как Линкомицин, Амоксилав, Амоксициллин, Диклофенак, Ибупрофен и пр.
При поражении корня более чем на 40-50% может быть необходимым удаление зуба. После операции обязательно проводится контрольное рентгенографическое исследование с целью определить, все ли части зуба удалены.
Профилактика
Единственным надежным методом профилактики кариеса на корне зуба является регулярное посещение стоматолога и чистка зубов, проведенная с помощью профессиональных методов. Своевременное удаление твердых зубных отложений и оценка общего состояния здоровья полости рта позволяет устранить наиболее вероятные риски, и вовремя заметить признаки неблагополучия.

 
                                     
			 
			 
			 
			 
			 
			






Статья очень полезная,за зубами нужно следить,хотя бы раз в пол года посещать стоматолога,ну уж если запустили зубы, то в в любом случае не нужно бояться и идти срочно к стоматологу,сейчас без болезненные методы лечения.Всем здоровья!!!
Именно! Лучшее лечение, как это говорится, – профилактика. Лечение на ранней стадии менее болезненно и значительно дешевле!